中文名稱:兔抗SLC16A6多克隆抗體
英文名稱: Anti-SLC16A6 rabbit polyclonal antibody
儲 存: 冷凍(-20℃)
宿 主: Rabbit
抗 原: SLC16A6
反應種屬: Human
標記物: Unconjugate
克隆類型: rabbit polyclonal
技術規格
|
Background: |
Proton-linked monocarboxylate transporter. Catalyzes the rapid transport across the plasma membrane of many monocarboxylates such as lactate, pyruvate, branched-chain oxo acids derived from leucine, valine and isoleucine, and the ketone bodies acetoacetate, beta-hydroxybutyrate and acetate. |
|
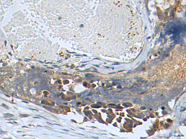
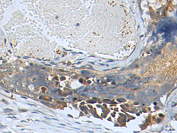
Applications: |
ELISA, IHC |
|
Name of antibody: |
SLC16A6 |
|
Immunogen: |
Synthetic peptide of human SLC16A6 |
|
Full name: |
solute carrier family 16 member 6 |
|
Synonyms: |
MCT6; MCT7 |
|
SwissProt: |
O15403 |
|
ELISA Recommended dilution: |
5000-10000 |
|
IHC positive control: |
Human colorectal cancer |
|
IHC Recommend dilution: |
50-100 |

購物車
幫助
021-54845833/15800441009
