中文名稱:兔抗CDC27多克隆抗體
英文名稱: Anti-CDC27 rabbit polyclonal antibody
別 名: APC3; HNUC; NUC2; ANAPC3; CDC27Hs; D0S1430E; D17S978E
相關類別: 一抗
抗 原: CDC27
儲 存: 冷凍(-20℃)
反應種屬: Human, Mouse, Rat
標 記 物: Unconjugate
克隆類型: rabbit polyclonal
技術規格
|
Background: |
The protein encoded by this gene shares strong similarity with Saccharomyces cerevisiae protein Cdc27, and the gene product of Schizosaccharomyces pombe nuc 2. This protein is a component of anaphase-promoting complex (APC), which is composed of eight protein subunits and highly conserved in eucaryotic cells. APC catalyzes the formation of cyclin B-ubiquitin conjugate that is responsible for the ubiquitin-mediated proteolysis of B-type cyclins. This protein and 3 other members of the APC complex contain the TPR (tetratricopeptide repeat), a protein domain important for protein-protein interaction. |
|
Applications: |
ELISA, WB, IHC |
|
Name of antibody: |
CDC27 |
|
Immunogen: |
Synthetic peptide of human CDC27 |
|
Full name: |
cell division cycle 27 |
|
Synonyms: |
APC3; HNUC; NUC2; ANAPC3; CDC27Hs; D0S1430E; D17S978E |
|
SwissProt: |
P30260 |
|
ELISA Recommended dilution: |
2000-5000 |
|
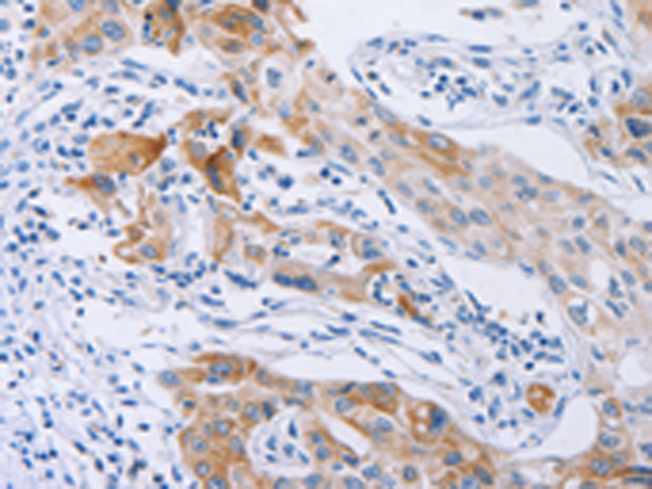
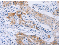
IHC positive control: |
Human lung cancer |
|
IHC Recommend dilution: |
25-100 |
|
WB Predicted band size: |
92 kDa |
|
WB Positive control: |
HepG2 and K562 cells |
|
WB Recommended dilution: |
500-2000 |


購物車
幫助
021-54845833/15800441009
