中文名稱: 兔抗PPHLN1多克隆抗體
英文名稱: Anti-PPHLN1 rabbit polyclonal antibody
別 名: HSPC206; HSPC232
抗 原: PPHLN1
儲 存: 冷凍(-20℃) 避光
宿 主: Rabbit
相關類別: 一抗
反應種屬: Human
標 記 物: Unconjugate
克隆類型: rabbit polyclonal
技術規格
|
Background: |
The protein encoded by this gene is one of the several proteins that become sequentially incorporated into the cornified cell envelope during the terminal differentiation of keratinocyte at the outer layers of epidermis. This protein interacts with periplakin, which is known as a precursor of the cornified cell envelope. The cellular localization pattern and insolubility of this protein suggest that it may play a role in epithelial differentiation and contribute to epidermal integrity and barrier formation. Multiple alternatively spliced transcript variants encoding distinct isoforms have been observed. |
|
Applications: |
WB, IHC |
|
Name of antibody: |
PPHLN1 |
|
Immunogen: |
Synthesized peptide derived from internal of human PPHLN. |
|
Full name: |
periphilin 1 |
|
Synonyms: |
HSPC206; HSPC232 |
|
SwissProt: |
Q8NEY8 |
|
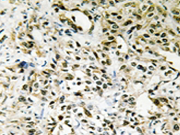
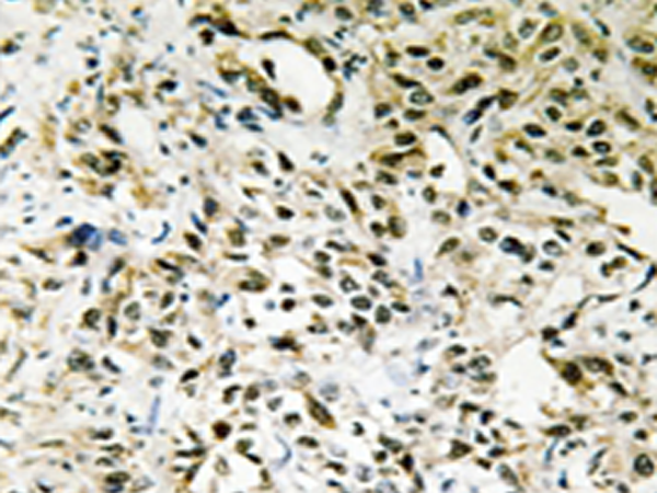
IHC positive control: |
Human liver carcinoma tissue |
|
IHC Recommend dilution: |
50-100 |
|
WB Predicted band size: |
53 kDa |
|
WB Positive control: |
COLO cells and 293 cells lysates |
|
WB Recommended dilution: |
500-3000 |


購物車
幫助
021-54845833/15800441009
