中文名稱:兔抗CELSR1多克隆抗體
英文名稱: Anti-CELSR1 rabbit polyclonal antibody
別 名: cadherin EGF LAG seven-pass G-type receptor 1; ME2; FMI2; CDHF9; HFMI2; ADGRC1
相關類別: 一抗
儲 存: 冷凍(-20℃)
宿 主: Rabbit
反應種屬: Human
標 記 物: Unconjugate
克隆類型: rabbit polyclonal
技術規格
|
Background: |
The protein encoded by this gene is a member of the flamingo subfamily, part of the cadherin superfamily. The flamingo subfamily consists of nonclassic-type cadherins; a subpopulation that does not interact with catenins. The flamingo cadherins are located at the plasma membrane and have nine cadherin domains, seven epidermal growth factor-like repeats and two laminin A G-type repeats in their ectodomain. They also have seven transmembrane domains, a characteristic unique to this subfamily. It is postulated that these proteins are receptors involved in contact-mediated communication, with cadherin domains acting as homophilic binding regions and the EGF-like domains involved in cell adhesion and receptor-ligand interactions. This particular member is a developmentally regulated, neural-specific gene which plays an unspecified role in early embryogenesis. |
|
Applications: |
ELISA, IHC |
|
Name of antibody: |
CELSR1 |
|
Immunogen: |
Synthetic peptide of human CELSR1 |
|
Full name: |
cadherin EGF LAG seven-pass G-type receptor 1 |
|
Synonyms: |
ME2; FMI2; CDHF9; HFMI2; ADGRC1 |
|
SwissProt: |
Q9NYQ6 |
|
ELISA Recommended dilution: |
500-1000 |
|
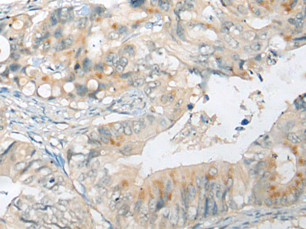
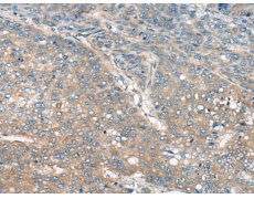
IHC positive control: |
Human liver cancer and human colorectal cancer |
|
IHC Recommend dilution: |
25-100 |


購物車
幫助
021-54845833/15800441009
