中文名稱:兔抗ARL5A多克隆抗體
|
Background: |
The protein encoded by this gene belongs to the ARF family of GTP-binding proteins. With its distinctive nuclear/nucleolar localization and interaction with HP1alpha, the protein is developmentally regulated and may play a role(s) in nuclear dynamics and/or signaling cascades during embryonic development. Alternative splicing results in multiple transcript variants encoding different isoforms. This gene has multiple pseudogenes. |
|
Applications: |
ELISA, IHC |
|
Name of antibody: |
ARL5A |
|
Immunogen: |
Synthetic peptide of human ARL5A |
|
Full name: |
ADP ribosylation factor like GTPase 5A |
|
Synonyms: |
ARL5; ARFLP5 |
|
SwissProt: |
Q9Y689 |
|
ELISA Recommended dilution: |
5000-10000 |
|
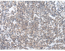
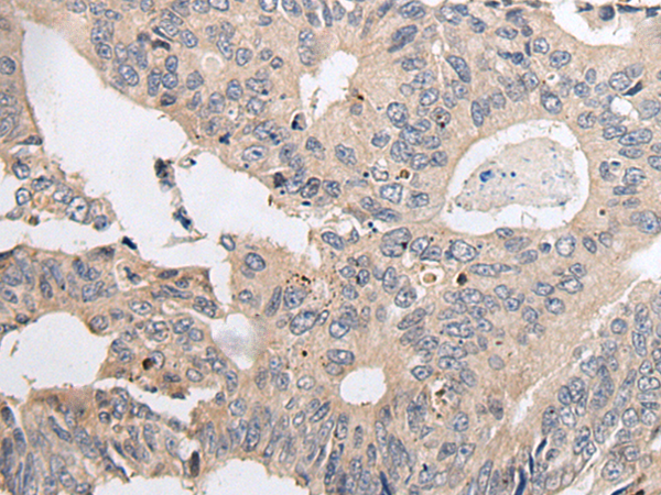
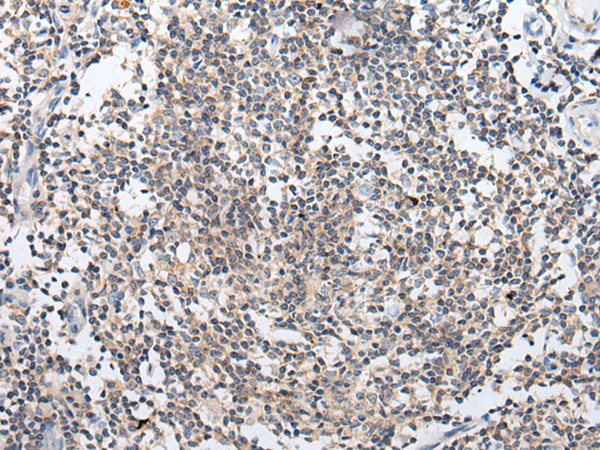
IHC positive control: |
Human colorectal cancer and human tonsil |
|
IHC Recommend dilution: |
25-100 |
購物車
幫助
021-54845833/15800441009
