中文名稱:兔抗CER1多克隆抗體
英文名稱: Anti-CER1 rabbit polyclonal antibody
別 名: cerberus 1, DAN family BMP antagonist; DAND4
相關類別: 一抗
儲 存: 冷凍(-20℃)
宿 主: Rabbit
抗 原: CER1
反應種屬: Human
標 記 物: Unconjugate
克隆類型: rabbit polyclonal
技術規格
|
Background: |
This gene encodes a cytokine member of the cysteine knot superfamily, characterized by nine conserved cysteines and a cysteine knot region. The cerberus-related cytokines, together with Dan and DRM/Gremlin, represent a group of bone morphogenetic protein (BMP) antagonists that can bind directly to BMPs and inhibit their activity. |
|
Applications: |
ELISA, IHC |
|
Name of antibody: |
CER1 |
|
Immunogen: |
Fusion protein of human CER1 |
|
Full name: |
cerberus 1, DAN family BMP antagonist |
|
Synonyms: |
DAND4 |
|
SwissProt: |
O95813 |
|
ELISA Recommended dilution: |
5000-10000 |
|
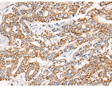
IHC positive control: |
Human liver cancer |
|
IHC Recommend dilution: |
25-100 |

購物車
幫助
021-54845833/15800441009
