中文名稱:兔抗CFL2多克隆抗體
英文名稱: Anti-CFL2 rabbit polyclonal antibody
別 名: cofilin 2; NEM7
相關類別: 一抗
抗 原: CFL2
儲 存: 冷凍(-20℃)
宿 主: Rabbit
反應種屬: Human, Mouse, Rat
標 記 物: Unconjugate
克隆類型: rabbit polyclonal
|
Background: |
This gene encodes an intracellular protein that is involved in the regulation of actin-filament dynamics. This protein is a major component of intranuclear and cytoplasmic actin rods. It can bind G- and F-actin in a 1:1 ratio of cofilin to actin, and it reversibly controls actin polymerization and depolymerization in a pH-dependent manner. Mutations in this gene cause nemaline myopathy type 7, a form of congenital myopathy. Alternative splicing results in multiple transcript variants. |
|
Applications: |
ELISA, WB, IHC |
|
Name of antibody: |
CFL2 |
|
Immunogen: |
Synthetic peptide of human CFL2 |
|
Full name: |
cofilin 2 |
|
Synonyms: |
NEM7 |
|
SwissProt: |
Q9Y281 |
|
ELISA Recommended dilution: |
5000-10000 |
|
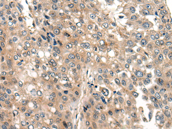
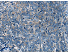
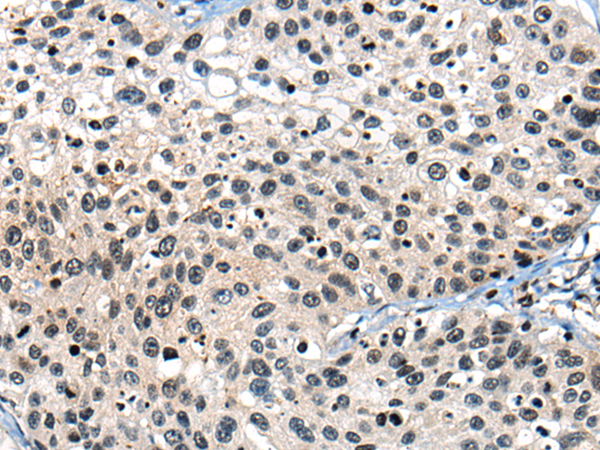
IHC positive control: |
Human liver cancer and human lung cancer |
|
IHC Recommend dilution: |
20-100 |
|
WB Predicted band size: |
19 kDa |
|
WB Positive control: |
Raji cell,Rat skeletal muscle tissue,Hela cell,Mouse skeletal muscle tissue and Mouse brain tissue lysates |
|
WB Recommended dilution: |
200-1000 |

購物車
幫助
021-54845833/15800441009
