中文名稱:小鼠抗CREB1單克隆抗體
|
Background: |
This gene encodes a transcription factor that is a member of the leucine zipper family of DNA binding proteins. This protein binds as a homodimer to the cAMP-responsive element, an octameric palindrome. The protein is phosphorylated by several protein kinases, and induces transcription of genes in response to hormonal stimulation of the cAMP pathway. Alternate splicing of this gene results in several transcript variants encoding different isoforms. |
|
Applications: |
WB |
|
Name of antibody: |
CREB1 |
|
Immunogen: |
Fusion protein of human CREB1 |
|
Full name: |
cAMP responsive element binding protein 1 |
|
Synonyms: |
CREB; CREB-1 |
|
SwissProt: |
P16220 |
|
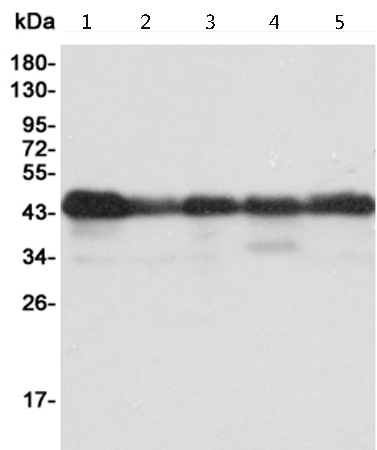
WB Predicted band size: |
37 kDa |
|
WB Positive control: |
Jurkat, A549, MCF7, C6 and Hela cell lysates |
|
WB Recommended dilution: |
1000-5000 |
購物車
幫助
021-54845833/15800441009
