中文名稱: 兔抗NDUFB11多克隆抗體
英文名稱: Anti-NDUFB11 rabbit polyclonal antibody
別 名: ESSS; Np15; P17.3; NP17.3; CI-ESSS; LSDMCA3
相關類別: 一抗
儲 存: 冷凍(-20℃)
宿 主: Rabbit
抗 原: NDUFB11
反應種屬: Human, Mouse
標 記 物: Unconjugate
克隆類型: rabbit polyclonal
技術規格
|
Background: |
Complex 1 (also known as NADH dehydrogenase) of the electron transport chain (respiratory chain) is an enzymatic complex that catalyzes the transfer of electrons from NADH to ubiquinone. Free energy from the reaction is conserved in the transfer of protons into the intermembrane space to create an electrochemical proton gradient, a driving force for ATP synthesis. Complex 1 is a complicated, multi-protein, L-shaped complex composed of at least 45 different subunits and located in the mitochondrial inner membrane. NDUFB11 (NADH dehydrogenase (ubiquinone) 1 beta subcomplex subunit 11), also known as ESSS, Np15, Np17.3 (neuronal protein 17.3) or p17.3, is a hydrophobic transmembrane protein belonging to the Complex I NDUFB11 subunit family. Ubiquitously expressed, NDUFB11 localizes to the inner membrane of the mitochondrion and functions as an accessory subunit of Complex I. The cAMP-dependent phosphorylation of NDUFB11 is important for the regulation of Complex I activity. |
|
Applications: |
ELISA, WB, IHC |
|
Name of antibody: |
NDUFB11 |
|
Immunogen: |
Full length fusion protein |
|
Full name: |
NADH:ubiquinone oxidoreductase subunit B11 |
|
Synonyms: |
ESSS; Np15; P17.3; NP17.3; CI-ESSS; LSDMCA3 |
|
SwissProt: |
Q9NX14 |
|
ELISA Recommended dilution: |
5000-10000 |
|
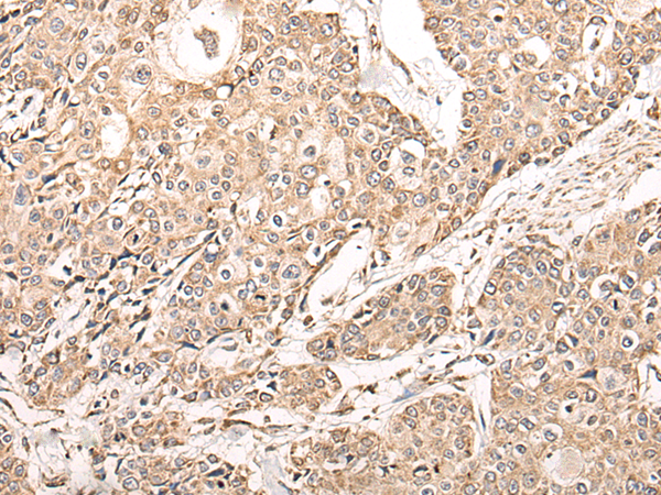
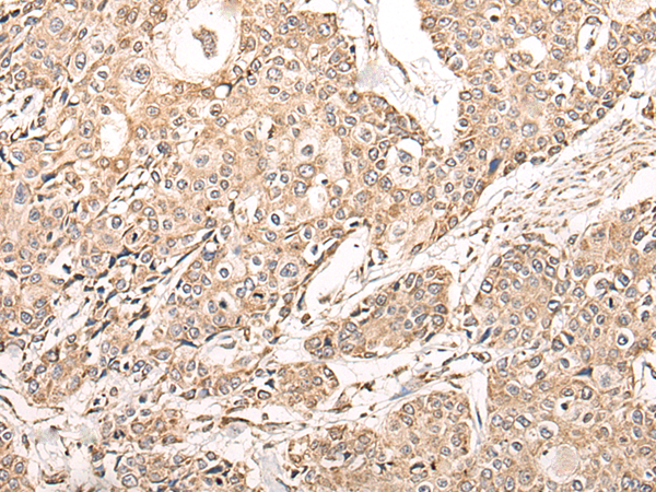
IHC positive control: |
Human lung cancer and human prostate cancer |
|
IHC Recommend dilution: |
50-300 |
|
WB Predicted band size: |
17 kDa |
|
WB Positive control: |
Mouse brain tissue,Mouse liver tissue,231 cell,K562 cell,A431 cell lysates |
|
WB Recommended dilution: |
1000-5000 |



購物車
幫助
021-54845833/15800441009
