中文名稱:小鼠抗HDAC6單克隆抗體
技術規格
Background:
Histones play a critical role in transcriptional regulation, cell cycle progression, and developmental events. Histone acetylation/deacetylation alters chromosome structure and affects transcription factor access to DNA. The protein encoded by this gene belongs to class II of the histone deacetylase/acuc/apha family. It contains an internal duplication of two catalytic domains which appear to function independently of each other. This protein possesses histone deacetylase activity and represses transcription.
Applications:
WB
Name of antibody:
HDAC6
Immunogen:
Fusion protein of human HDAC6
Full name:
histone deacetylase 6
Synonyms:
HD6; JM21; CPBHM; PPP1R90
SwissProt:
Q9UBN7
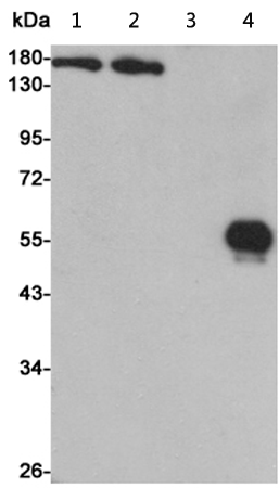
WB Predicted band size:
131 kDa
WB Positive control:
T47D cell, Jurkat cell, CHO-K1 cell and CHO-K1 transfected by HDAC6-fragment EGFP fusion protein cell lysates
WB Recommended dilution:
1000-5000

購物車
幫助
021-54845833/15800441009
