中文名稱:兔抗SLC19A2多克隆抗體
宿 主: Rabbit
相關類別: 一抗
反應種屬: Human
標記物: Unconjugate
克隆類型: rabbit polyclonal
技術規格
|
Background: |
This gene encodes the thiamin transporter protein. Mutations in this gene cause thiamin-responsive megaloblastic anemia syndrome (TRMA), which is an autosomal recessive disorder characterized by diabetes mellitus, megaloblastic anemia and sensorineural deafness. |
|
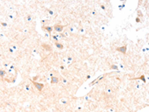
Applications: |
ELISA, IHC |
|
Name of antibody: |
SLC19A2 |
|
Immunogen: |
Fusion protein of human SLC19A2 |
|
Full name: |
solute carrier family 19 (thiamine transporter), member 2 |
|
Synonyms: |
TC1; THT1; TRMA; THMD1; THTR1 |
|
SwissProt: |
O60779 |
|
ELISA Recommended dilution: |
1000-2000 |
|
IHC positive control: |
Human brain |
|
IHC Recommend dilution: |
15-50 |

購物車
幫助
021-54845833/15800441009
