中文名稱: 兔抗HELLS多克隆抗體
別 名: LSH; PASG; SMARCA6; Nbla10143
抗 原: HELLS
儲 存: 冷凍(-20℃)
相關類別: 一抗
克隆類型: rabbit polyclonal
Background:
This gene encodes a lymphoid-specific helicase. Other helicases function in processes involving DNA strand separation, including replication, repair, recombination, and transcription. This protein is thought to be involved with cellular proliferation and may play a role in leukemogenesis. Alternatively spliced transcript variants encoding different isoforms have been identified.
Applications:
ELISA, WB, IHC
Name of antibody:
HELLS
Immunogen:
Fusion protein of human HELLS
Full name:
helicase, lymphoid-specific
Synonyms:
LSH; PASG; SMARCA6; Nbla10143
SwissProt:
Q9NRZ9
ELISA Recommended dilution:
5000-10000
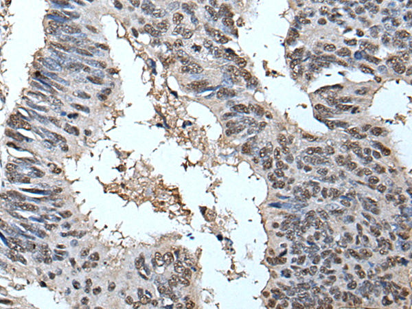
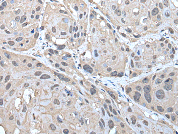
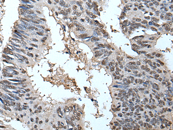
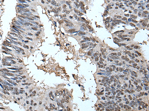
IHC positive control:
Human colorectal cancer and human esophagus cancer
IHC Recommend dilution:
25-100
WB Predicted band size:
97 kDa
WB Positive control:
HEPG2 cell lysate
WB Recommended dilution:
500-2000
技術規格






購物車
幫助
021-54845833/15800441009
