中文名稱: 兔抗HEXIM2多克隆抗體
抗 原: HEXIM2
宿 主: Rabbit
反應種屬: Human, Mouse
標 記 物: Unconjugate
克隆類型: rabbit polyclonal
技術規格
|
Background: |
This gene encodes a member of the HEXIM family of proteins. This protein is a component of the 7SK small nuclear ribonucleoprotein. This protein has been found to negatively regulate the kinase activity of the cyclin-dependent kinase P-TEFb, which phosphorylates multiple target proteins to promote transcriptional elongation. This gene is located approximately 7 kb downstream from related family member HEXIM1 on chromosome 17. Alternative splicing results in multiple transcript variants. |
|
Applications: |
ELISA, WB, IHC |
|
Name of antibody: |
HEXIM2 |
|
Immunogen: |
Fusion protein of human HEXIM2 |
|
Full name: |
HEXIM P-TEFb complex subunit 2 |
|
Synonyms: |
L3 |
|
SwissProt: |
Q96MH2 |
|
ELISA Recommended dilution: |
5000-10000 |
|
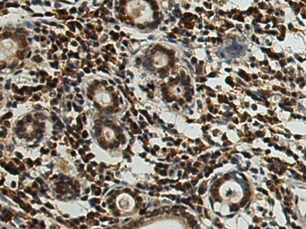
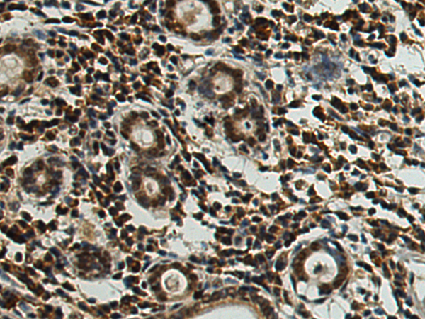
IHC positive control: |
Human esophagus cancer |
|
IHC Recommend dilution: |
200-400 |
|
WB Predicted band size: |
32 kDa |
|
WB Positive control: |
Mouse brain tissue lysate |
|
WB Recommended dilution: |
500-2000 |




購物車
幫助
021-54845833/15800441009
