|
Background: |
The protein encoded by this gene is a transmembrane glycoprotein that is a member of the protein kinase superfamily. This protein is a receptor for members of the epidermal growth factor family. EGFR is a cell surface protein that binds to epidermal growth factor. Binding of the protein to a ligand induces receptor dimerization and tyrosine autophosphorylation and leads to cell proliferation. Mutations in this gene are associated with lung cancer. |
|
Applications: |
WB, IHC |
|
Name of antibody: |
EGFR(Ab-1172) |
|
Immunogen: |
Synthesized non-phosphopeptide derived from human EGFR around the phosphorylation site of tyrosine 1172 (P-D-Y(p)-Q-Q). |
|
Full name: |
epidermal growth factor receptor |
|
Synonyms: |
ERBB; HER1; mENA; ERBB1; PIG61 |
|
SwissProt: |
P00533 |
|
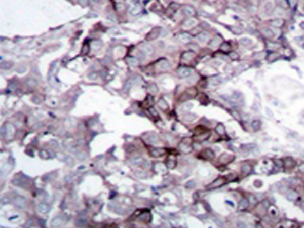
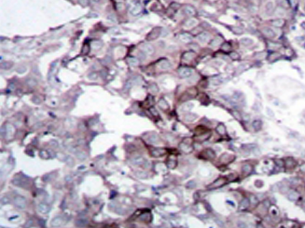
IHC positive control: |
Human breast carcinoma tissue |
|
IHC Recommend dilution: |
50-100 |
|
WB Predicted band size: |
134 kDa |
|
WB Positive control: |
HT-29 cells lysate |
|
WB Recommended dilution: |
500-3000 |

購物車
幫助
021-54845833/15800441009
