中文名稱: 兔抗HLA-DRB3多克隆抗體
英文名稱: Anti-HLA-DRB3 rabbit polyclonal antibody
抗 原: HLA-DRB3
標 記 物: Unconjugate
克隆類型: rabbit polyclonal
Background:
HLA-DRB3 belongs to the HLA class II beta chain paralogues. This class II molecule is a heterodimer consisting of an alpha (DRA) and a beta (DRB) chain, both anchored in the membrane. It plays a central role in the immune system by presenting peptides derived from extracellular proteins. Class II molecules are expressed in antigen presenting cells (APC: B lymphocytes, dendritic cells, macrophages). The beta chain is approximately 26-28 kDa and its gene contains 6 exons. Exon one encodes the leader peptide, exons 2 and 3 encode the two extracellular domains, exon 4 encodes the transmembrane domain and exon 5 encodes the cytoplasmic tail. Within the DR molecule the beta chain contains all the polymorphisms specifying the peptide binding specificities. Typing for these polymorphisms is routinely done for bone marrow and kidney transplantation. DRB1 is expressed at a level five times higher than its paralogues DRB3, DRB4 and DRB5. The presence of DRB3 is linked with allelic variants of DRB1, otherwise it is omitted. There are 4 related pseudogenes: DRB2, DRB6, DRB7, DRB8 and DRB9.
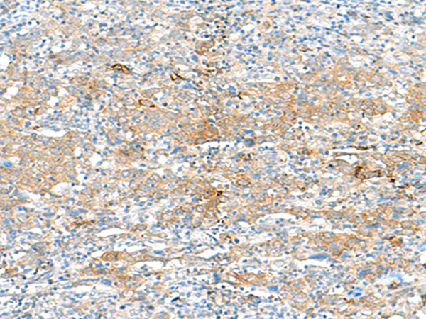
Applications:
ELISA, IHC
Name of antibody:
HLA-DRB3
Immunogen:
Synthetic peptide of human HLA-DRB3
Full name:
major histocompatibility complex, class II, DR beta 3
Synonyms:
HLA-DR1B; HLA-DR3B
SwissProt:
P79483
ELISA Recommended dilution:
5000-10000
IHC positive control:
Human cervical cancer
IHC Recommend dilution:
20-100
技術規格




購物車
幫助
021-54845833/15800441009
