|
Background: |
This gene encodes a type 2 integral membrane protein that binds A- and B-type lamins. The encoded protein localizes to the inner nuclear membrane and may be involved in maintaining the attachment of the nuclear membrane to the nuclear lamina during cell division. Alternate splicing results in multiple transcript variants. |
|
Applications: |
ELISA, IHC |
|
Name of antibody: |
TOR1AIP1 |
|
Immunogen: |
Fusion protein of human TOR1AIP1 |
|
Full name: |
torsin 1A interacting protein 1 |
|
Synonyms: |
LAP1; LAP1B; LGMD2Y |
|
SwissProt: |
Q5JTV8 |
|
ELISA Recommended dilution: |
5000-10000 |
|
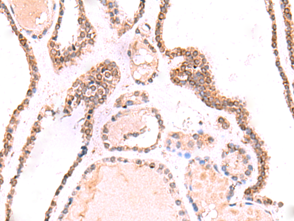
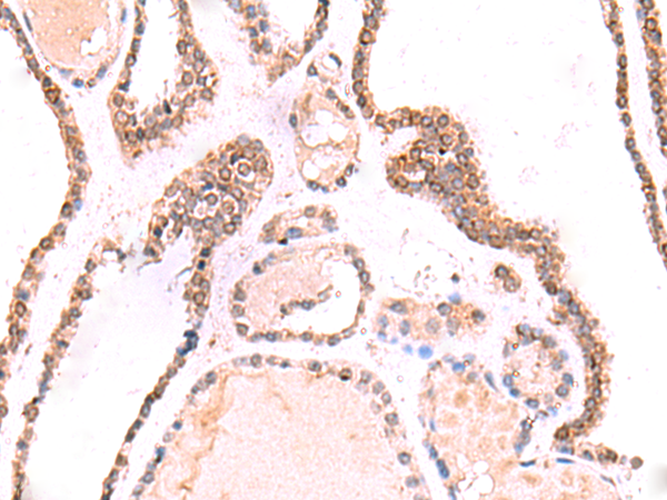
IHC positive control: |
Human thyroid cancer |
|
IHC Recommend dilution: |
50-300 |
購物車
幫助
021-54845833/15800441009
