英文名稱: Anti-HOXC4 rabbit polyclonal antibody
別 名: homeobox C4; HOX3; cp19; HOX3E
相關類別: 一抗
儲 存: 冷凍(-20℃)
宿 主: Rabbit
抗 原: HOXC4
反應種屬: Human, Mouse
標 記 物: Unconjugate
克隆類型: rabbit polyclonal
Background:
This gene belongs to the homeobox family of genes. The homeobox genes encode a highly conserved family of transcription factors that play an important role in morphogenesis in all multicellular organisms. Mammals possess four similar homeobox gene clusters, HOXA, HOXB, HOXC and HOXD, which are located on different chromosomes and consist of 9 to 11 genes arranged in tandem. This gene, HOXC4, is one of several homeobox HOXC genes located in a cluster on chromosome 12. Three genes, HOXC5, HOXC4 and HOXC6, share a 5' non-coding exon. Transcripts may include the shared exon spliced to the gene-specific exons, or they may include only the gene-specific exons. Two alternatively spliced variants that encode the same protein have been described for HOXC4. Transcript variant one includes the shared exon, and transcript variant two includes only gene-specific exons.
Applications:
ELISA, WB, IHC
Name of antibody:
HOXC4
Immunogen:
Synthetic peptide of human HOXC4
Full name:
homeobox C4
Synonyms:
HOX3; cp19; HOX3E
SwissProt:
P09017
ELISA Recommended dilution:
5000-10000
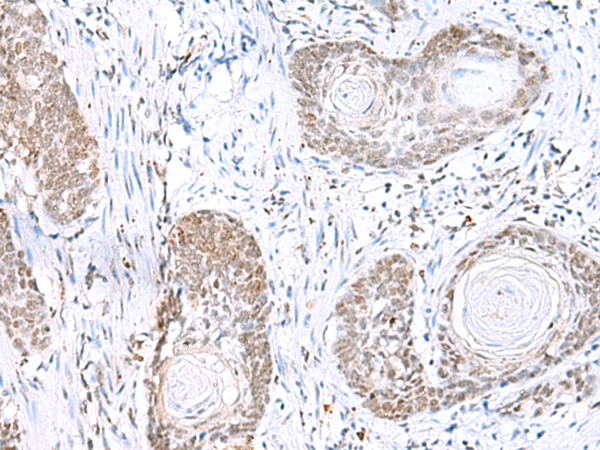
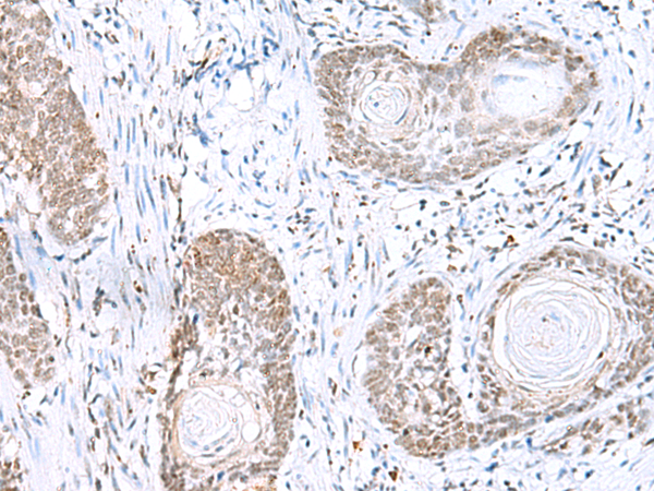
IHC positive control:
Human esophagus cancer
IHC Recommend dilution:
10-50
WB Predicted band size:
30 kDa
WB Positive control:
Jurkat and 293T cell lysates
WB Recommended dilution:
200-1000
技術規格




購物車
幫助
021-54845833/15800441009
