|
Background: |
This gene encodes an integral membrane protein that is secreted from intracellular zymogen granules and associates with the plasma membrane via glycosylphosphatidylinositol (GPI) linkage. The encoded protein binds pathogens such as enterobacteria, thereby playing an important role in the innate immune response. The C-terminus of this protein is related to the C-terminus of the protein encoded by the neighboring gene, uromodulin (UMOD). Alternative splicing results in multiple transcript variants. |
|
Applications: |
ELISA, IHC |
|
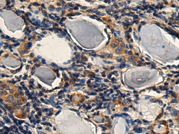
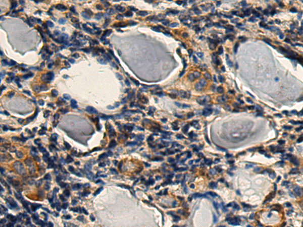
Name of antibody: |
GP2 |
|
Immunogen: |
Fusion protein of human GP2 |
|
Full name: |
glycoprotein 2 |
|
Synonyms: |
ZAP75 |
|
SwissProt: |
P55259 |
|
ELISA Recommended dilution: |
5000-10000 |
|
IHC positive control: |
Human liver cancer and Human thyroid cancer |
|
IHC Recommend dilution: |
200-400 |

購物車
幫助
021-54845833/15800441009
