相關類別: 一抗
反應種屬: Human, Mouse, Rat
Background:
This intronless gene encodes a protein that may play a role in organelle biogenesis associated with melanosomes, platelet dense granules, and lysosomes. This protein interacts with Hermansky-Pudlak syndrome 5 protein. Mutations in this gene are associated with Hermansky-Pudlak syndrome type 6.
Applications:
ELISA, WB, IHC
Name of antibody:
HPS6
Immunogen:
Synthetic peptide of human HPS6
Full name:
HPS6, biogenesis of lysosomal organelles complex 2 subunit 3
Synonyms:
BLOC2S3
SwissProt:
Q86YV9
ELISA Recommended dilution:
5000-10000
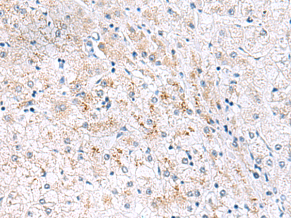
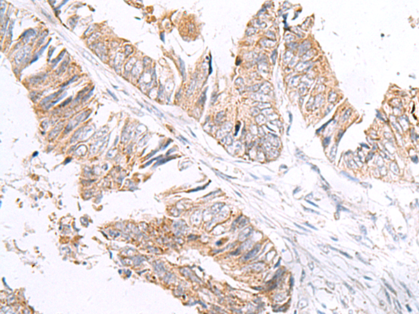
IHC positive control:
Human tonsil and Human liver cancer
IHC Recommend dilution:
20-100
WB Predicted band size:
83 kDa
WB Positive control:
Mouse lung tissue lysate
WB Recommended dilution:
200-1000
技術規格






購物車
幫助
021-54845833/15800441009
