英文名稱: Anti-HSPA2 rabbit polyclonal antibody
儲 存: 冷凍(-20℃)
宿 主: Rabbit
標 記 物: Unconjugate
克隆類型: rabbit polyclonal
Background:
In cooperation with other chaperones, Hsp70s stabilize preexistent proteins against aggregation and mediate the folding of newly translated polypeptides in the cytosol as well as within organelles. These chaperones participate in all these processes through their ability to recognize nonnative conformations of other proteins. They bind extended peptide segments with a net hydrophobic character exposed by polypeptides during translation and membrane translocation, or following stress-induced damage. Plays a role in spermatogenesis. In association with SHCBP1L may participate in the maintenance of spindle integrity during meiosis in male germ cells.
Applications:
ELISA, WB, IHC
Name of antibody:
HSPA2
Immunogen:
Fusion protein of human HSPA2
Full name:
heat shock protein family A (Hsp70) member 2
Synonyms:
HSP70-2; HSP70-3
SwissProt:
P54652
ELISA Recommended dilution:
5000-10000
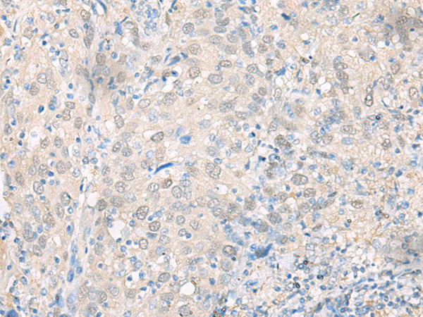
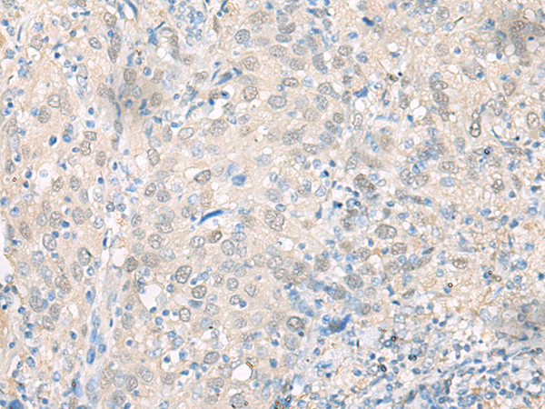
IHC positive control:
Human thyroid cancer and Human cervical cancer
IHC Recommend dilution:
30-150
WB Predicted band size:
70 kDa
WB Positive control:
231 cell, Hela cell, Jurkat cell, A549 cell, NIH/3T3 cell, Human cerebrum tissue, Mouse brain tissue lysates
WB Recommended dilution:
500-2000
技術規格






購物車
幫助
021-54845833/15800441009
