技術規格
Background:
The protein encoded by this gene is a helix-loop-helix (HLH) protein that can form heterodimers with other HLH proteins. However, the encoded protein lacks a basic DNA-binding domain and therefore inhibits the DNA binding of any HLH protein with which it interacts.
Applications:
ELISA, IHC
Name of antibody:
ID3
Immunogen:
Synthetic peptide of human ID3
Full name:
inhibitor of DNA binding 3, dominant negative helix-loop-helix protein
Synonyms:
HEIR-1; bHLHb25
SwissProt:
Q02535
ELISA Recommended dilution:
2000-5000
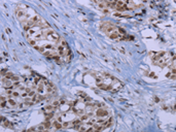
IHC positive control:
Human breast cancer and Human brain
IHC Recommend dilution:
50-200


購物車
幫助
021-54845833/15800441009
