中文名稱: 兔抗GJA5多克隆抗體
英文名稱: Anti-GJA5 rabbit polyclonal antibody
儲 存: 冷凍(-20℃)
相關類別: 一抗
|
Background: |
This gene is a member of the connexin gene family. The encoded protein is a component of gap junctions, which are composed of arrays of intercellular channels that provide a route for the diffusion of low molecular weight materials from cell to cell. Mutations in this gene may be associated with atrial fibrillation. Alternatively spliced transcript variants encoding the same isoform have been described. |
|
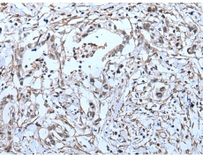
Applications: |
ELISA, IHC |
|
Name of antibody: |
GJA5 |
|
Immunogen: |
Fusion protein of human GJA5 |
|
Full name: |
gap junction protein alpha 5 |
|
Synonyms: |
CX40; ATFB11 |
|
SwissProt: |
P36382 |
|
ELISA Recommended dilution: |
5000-10000 |
|
IHC positive control: |
Human colorectal cancer and human gastric cancer |
|
IHC Recommend dilution: |
30-150 |

購物車
幫助
021-54845833/15800441009
