|
Background: |
Probable fucosyltransferase. |
|
Applications: |
ELISA, WB, IHC |
|
Name of antibody: |
FUT10 |
|
Immunogen: |
Synthetic peptide of human FUT10 |
|
Full name: |
fucosyltransferase 10 |
|
Synonyms: |
FUCTX |
|
SwissProt: |
Q6P4F1 |
|
ELISA Recommended dilution: |
5000-10000 |
|
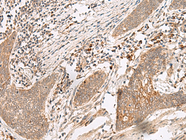
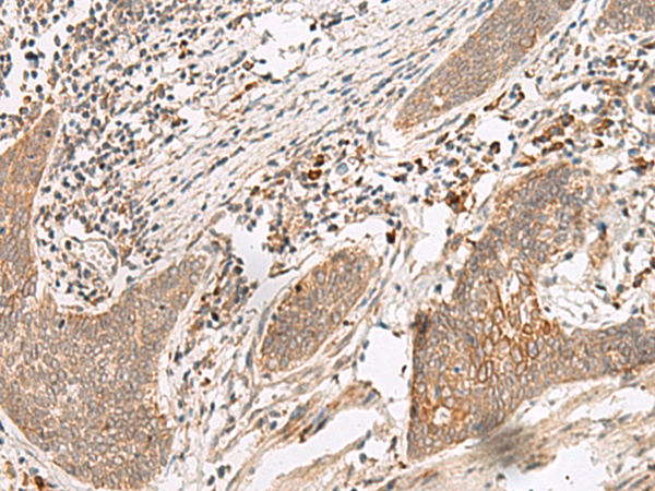
IHC positive control: |
Human esophagus cancer |
|
IHC Recommend dilution: |
40-200 |
|
WB Predicted band size: |
56 kDa |
|
WB Positive control: |
Mouse liver tissue lysate |
|
WB Recommended dilution: |
500-2000 |

購物車
幫助
021-54845833/15800441009
