技術規格
|
Background: |
This gene encodes the integrin alpha M chain. Integrins are heterodimeric integral membrane proteins composed of an alpha chain and a beta chain. This I-domain containing alpha integrin combines with the beta 2 chain (ITGB2) to form a leukocyte-specific integrin referred to as macrophage receptor 1 ('Mac-1'), or inactivated-C3b (iC3b) receptor 3 ('CR3'). The alpha M beta 2 integrin is important in the adherence of neutrophils and monocytes to stimulated endothelium, and also in the phagocytosis of complement coated particles. Multiple transcript variants encoding different isoforms have been found for this gene. |
|
Applications: |
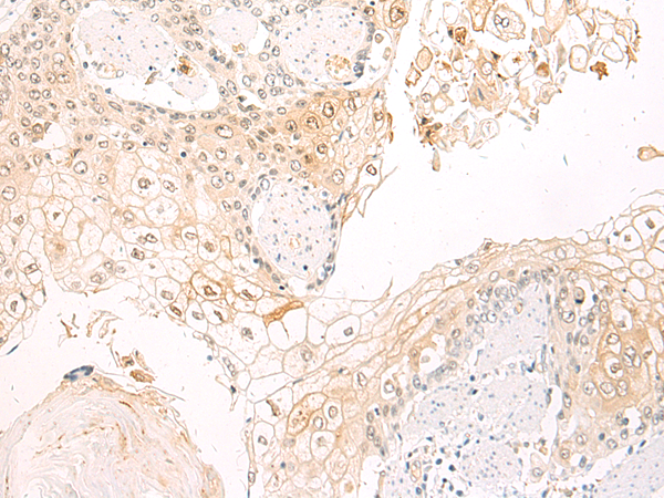
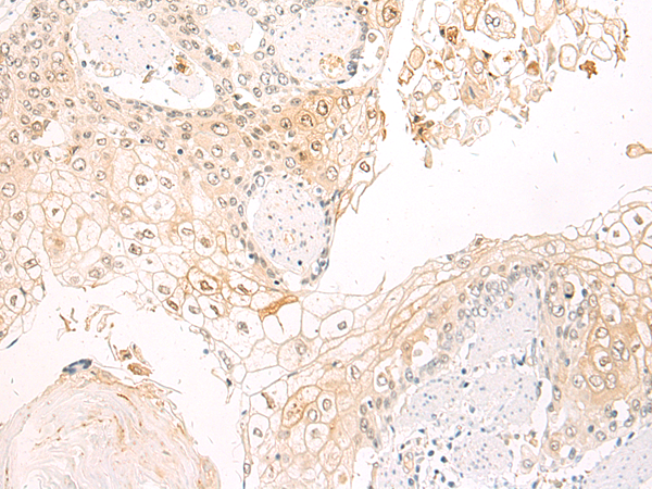
ELISA, IHC |
|
Name of antibody: |
ITGAM |
|
Immunogen: |
Synthetic peptide of human ITGAM |
|
Full name: |
integrin subunit alpha M |
|
Synonyms: |
CR3A; MO1A; CD11B; MAC-1; MAC1A; SLEB6 |
|
SwissProt: |
P11215 |
|
ELISA Recommended dilution: |
5000-10000 |
|
IHC positive control: |
Human esophagus cancer |
|
IHC Recommend dilution: |
50-100 |

購物車
幫助
021-54845833/15800441009
