|
Background: |
This gene encodes a member of the inward rectifier-type potassium channel family, characterized by having a greater tendency to allow potassium to flow into, rather than out of, a cell. The encoded protein may form a heterodimer with another potassium channel protein and may be responsible for the potassium buffering action of glial cells in the brain. Mutations in this gene have been associated with seizure susceptibility of common idiopathic generalized epilepsy syndromes. |
|
Applications: |
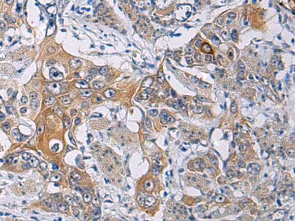
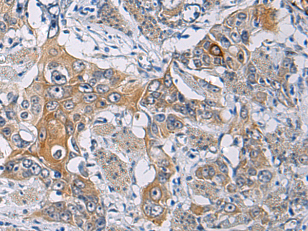
ELISA, IHC |
|
Name of antibody: |
KCNJ10 |
|
Immunogen: |
Fusion protein of human KCNJ10 |
|
Full name: |
potassium voltage-gated channel subfamily J member 10 |
|
Synonyms: |
KIR1.2; KIR4.1; SESAME; BIRK-10; KCNJ13-PEN |
|
SwissProt: |
P78508 |
|
ELISA Recommended dilution: |
5000-10000 |
|
IHC positive control: |
Human esophagus cancer |
|
IHC Recommend dilution: |
50-200 |

購物車
幫助
021-54845833/15800441009
