中文名稱:兔抗BCL6多克隆抗體
|
Background: |
The protein encoded by this gene is a zinc finger transcription factor and contains an N-terminal POZ domain. This protein acts as a sequence-specific repressor of transcription, and has been shown to modulate the transcription of STAT-dependent IL-4 responses of B cells. This protein can interact with a variety of POZ-containing proteins that function as transcription corepressors. This gene is found to be frequently translocated and hypermutated in diffuse large-cell lymphoma (DLCL), and may be involved in the pathogenesis of DLCL. Alternatively spliced transcript variants encoding different protein isoforms have been found for this gene. |
|
Applications: |
ELISA, WB, IHC |
|
Name of antibody: |
BCL6 |
|
Immunogen: |
Synthetic peptide of human BCL6 |
|
Full name: |
B-cell CLL/lymphoma 6 |
|
Synonyms: |
BCL5; LAZ3; BCL6A; ZNF51; ZBTB27 |
|
SwissProt: |
P41182 |
|
ELISA Recommended dilution: |
5000-10000 |
|
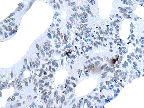
IHC positive control: |
Human colorectal cancer |
|
IHC Recommend dilution: |
10-50 |
|
WB Predicted band size: |
79 kDa |
|
WB Positive control: |
Hela cell lysate |
|
WB Recommended dilution: |
200-1000 |


購物車
幫助
021-54845833/15800441009
