英文名稱: Anti-IL10RB rabbit polyclonal antibody
別 名: CRFB4, CRF2-4, D21S58, D21S66, CDW210B, IL-10R2
|
Background: |
The protein encoded by this gene belongs to the cytokine receptor family. It is an accessory chain essential for the active interleukin 10 receptor complex. Coexpression of this and IL10RA proteins has been shown to be required for IL10-induced signal transduction. This gene and three other interferon receptor genes, IFAR2, IFNAR1, and IFNGR2, form a class II cytokine receptor gene cluster located in a small region on chromosome 21. |
|
Applications: |
ELISA, IHC |
|
Name of antibody: |
IL10RB |
|
Immunogen: |
Fusion protein of human IL10RB |
|
Full name: |
Interleukin-10 receptor subunit beta |
|
Synonyms: |
CRFB4, CRF2-4, D21S58, D21S66, CDW210B, IL-10R2 |
|
SwissProt: |
Q08334 |
|
ELISA Recommended dilution: |
1000-10000 |
|
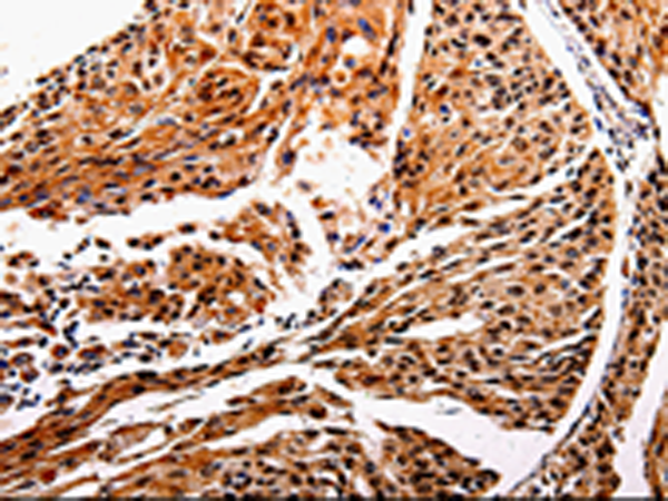
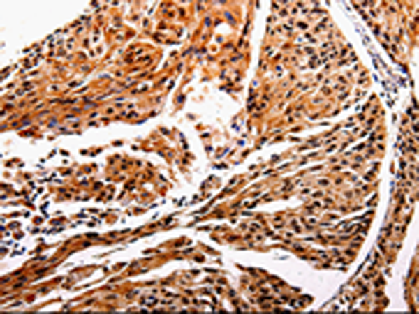
IHC positive control: |
Human cervical cancer and human esophagus cancer |
|
IHC Recommend dilution: |
25-100 |

購(gòu)物車
幫助
021-54845833/15800441009
