中文名稱:兔抗GTF2F1多克隆抗體
英文名稱: Anti-GTF2F1 rabbit polyclonal antibody
別 名: general transcription factor IIF subunit 1; BTF4; RAP74; TF2F1; TFIIF
相關類別: 一抗
儲 存: 冷凍(-20℃)
宿 主: Rabbit
抗 原: GTF2F1
反應種屬: Human, Mouse, Rat
標記物: Unconjugate
克隆類型:rabbit polyclonal
技術規格
|
Background: |
TFIIF is a general transcription initiation factor that binds to RNA polymerase II and helps to recruit it to the initiation complex in collaboration with TFIIB. It promotes transcription elongation. |
|
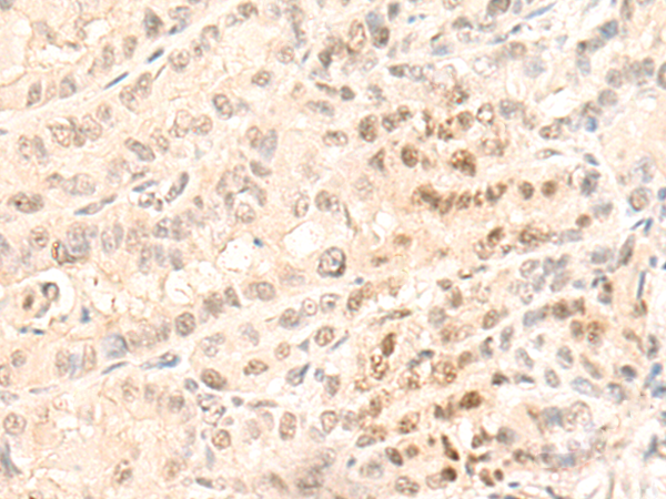
Applications: |
ELISA, IHC |
|
Name of antibody: |
GTF2F1 |
|
Immunogen: |
Fusion protein of human GTF2F1 |
|
Full name: |
general transcription factor IIF subunit 1 |
|
Synonyms: |
BTF4; RAP74; TF2F1; TFIIF |
|
SwissProt: |
P35269 |
|
ELISA Recommended dilution: |
5000-10000 |
|
IHC positive control: |
Human thyroid cancer |
|
IHC Recommend dilution: |
30-150 |

購物車
幫助
021-54845833/15800441009
