中文名稱: 兔抗IL24多克隆抗體
英文名稱: Anti-IL24 rabbit polyclonal antibody
相關類別: 一抗
抗 原: IL24
宿 主: Rabbit
反應種屬: Human
標 記 物: Unconjugate
克隆類型: rabbit polyclonal
技術規格
|
Background: |
This gene encodes a member of the IL10 family of cytokines. It was identified as a gene induced during terminal differentiation in melanoma cells. The protein encoded by this gene can induce apoptosis selectively in various cancer cells. Overexpression of this gene leads to elevated expression of several GADD family genes, which correlates with the induction of apoptosis. The phosphorylation of mitogen-activated protein kinase 14 (MAPK7/P38), and heat shock 27kDa protein 1 (HSPB2/HSP27) are found to be induced by this gene in melanoma cells, but not in normal immortal melanocytes. Alternatively spliced transcript variants encoding distinct isoforms have been reported. |
|
Applications: |
ELISA, IHC |
|
Name of antibody: |
IL24 |
|
Immunogen: |
Synthetic peptide of human IL24 |
|
Full name: |
interleukin 24 |
|
Synonyms: |
C49A; FISP; MDA7; MOB5; ST16; IL10B |
|
SwissProt: |
Q13007 |
|
ELISA Recommended dilution: |
5000-10000 |
|
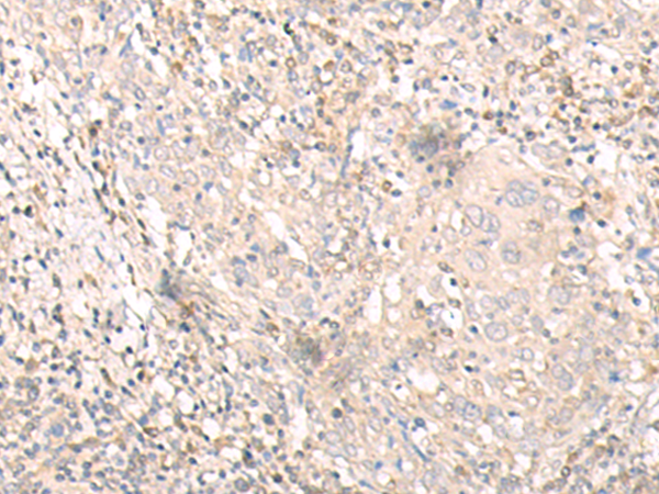
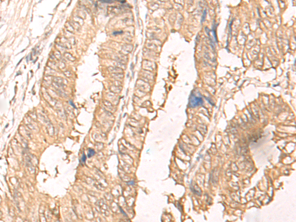
IHC positive control: |
Human cervical cancer and Human colorectal cancer |
|
IHC Recommend dilution: |
30-150 |


購物車
幫助
021-54845833/15800441009
