技術規格
Background:
May mediate the control of various cellular processes by insulin. When phosphorylated by the insulin receptor binds specifically to various cellular proteins containing SH2 domains such as phosphatidylinositol 3-kinase p85 subunit or GRB2. Activates phosphatidylinositol 3-kinase when bound to the regulatory p85 subunit
Applications:
WB, IHC
Name of antibody:
IRS1 (Phospho-Ser636)
Immunogen:
Synthetic peptide of human IRS1 (Phospho-Ser636)
Full name:
insulin receptor substrate 1 (Phospho-Ser636)
Synonyms:
HIRS-1
SwissProt:
P35568
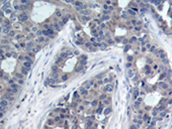
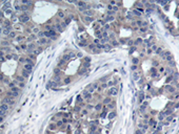
IHC positive control:
Human breast carcinoma
IHC Recommend dilution:
50-100
WB Predicted band size:
180 kDa
WB Positive control:
3T3 cells treated with Insulin
WB Recommended dilution:
500-1000


購物車
幫助
021-54845833/15800441009
