中文名稱:兔抗PTRH2多克隆抗體
英文名稱: Anti-PTRH2 rabbit polyclonal antibody
別 名: BIT1; PTH2; CFAP37; CGI-147
相關類別: 一抗
儲 存: 冷凍(-20℃)
宿 主: Rabbit
抗 原:PTRH2
反應種屬: Human, Mouse
標記物: Unconjugate
克隆類型: rabbit polyclonal
技術規格
Background:
PTRH2 (peptidyl-tRNA hydrolase 2), also known as BIT1 (Bcl-2 inhibitor of transcription 1), is a 179 amino acid mitochondrial protein. During apoptosis, PTRH2 is released from the mitochondia to the cytoplasm. Once in the cytoplasm, PTRH2 regulates the function of two transcriptional regulators, TLE5 and TLE1, thereby promoting caspase-independent cell death. It is also believed that the natural substrate for PTRH2 may be petidyl-tRNAs, which leave the ribosomes during protein synthesis.
Applications:
ELISA, WB, IHC
Name of antibody:
PTRH2
Immunogen:
Fusion protein of human PTRH2
Full name:
peptidyl-tRNA hydrolase 2
Synonyms:
BIT1; PTH2; CFAP37; CGI-147
SwissProt:
Q9Y3E5
ELISA Recommended dilution:
2000-10000
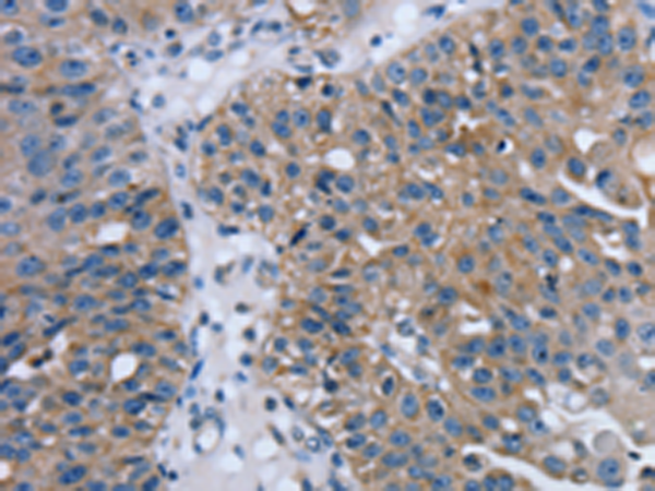
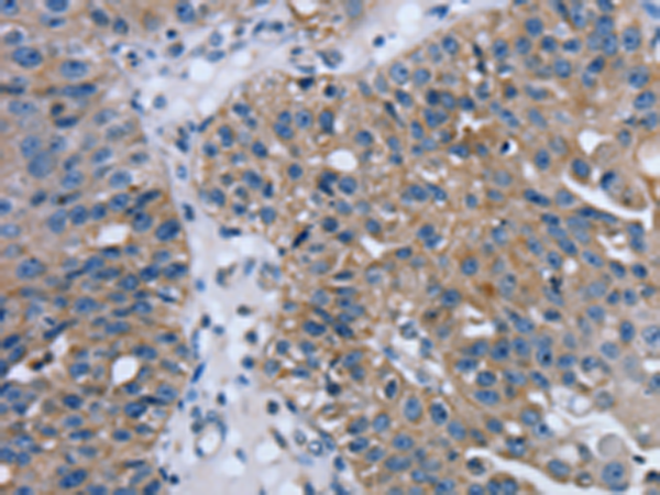
IHC positive control:
Human breast cancer
IHC Recommend dilution:
10-50
WB Predicted band size:
19 kDa
WB Positive control:
Raji, Jurkat, 231, hepg2 and K562 cells
WB Recommended dilution:
1000-5000


購物車
幫助
021-54845833/15800441009
