技術規格
|
Background: |
IRS4 encodes the insulin receptor substrate 4, a cytoplasmic protein that contains many potential tyrosine and serine/threonine phosphorylation sites. Tyrosine-phosphorylated IRS4 protein has been shown to associate with cytoplasmic signalling molecules that contain SH2 domains. The IRS4 protein is phosphorylated by the insulin receptor tyrosine kinase upon receptor stimulation. |
|
Applications: |
ELISA, IHC |
|
Name of antibody: |
IRS4 |
|
Immunogen: |
Synthetic peptide of human IRS4 |
|
Full name: |
insulin receptor substrate 4 |
|
Synonyms: |
IRS-4; PY160 |
|
SwissProt: |
O14654 |
|
ELISA Recommended dilution: |
5000-10000 |
|
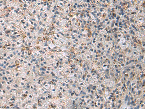
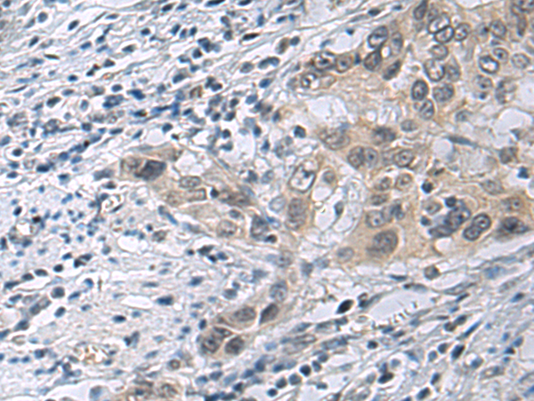
IHC positive control: |
Human esophagus cancer and Human brain |
|
IHC Recommend dilution: |
50-100 |


購物車
幫助
021-54845833/15800441009
