技術規格:
|
Background: |
Likely to be an important mediator of ventricular differentiation during cardiac development. |
|
Applications: |
ELISA, WB, IHC |
|
Name of antibody: |
IRX4 |
|
Immunogen: |
Synthetic peptide of human IRX4 |
|
Full name: |
iroquois homeobox 4 |
|
Synonyms: |
IRXA3 |
|
SwissProt: |
P78413 |
|
ELISA Recommended dilution: |
5000-10000 |
|
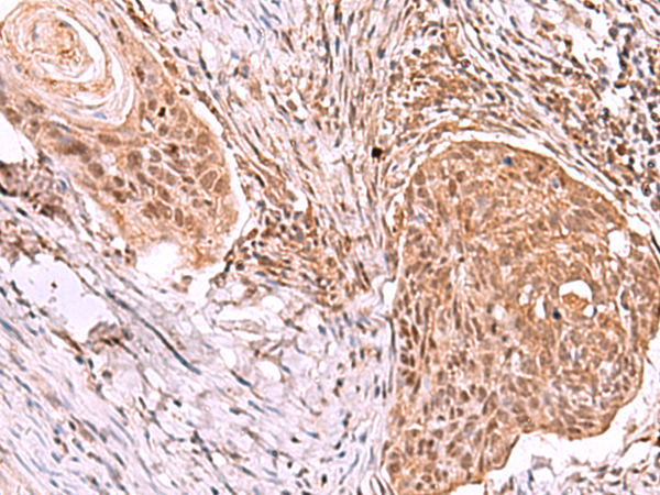
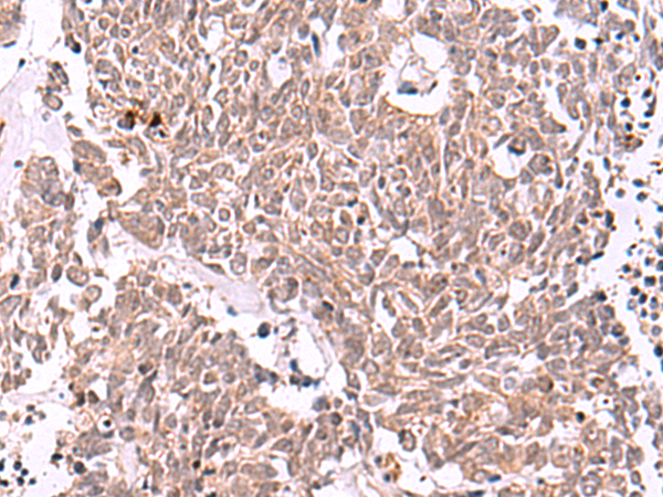
IHC positive control: |
Human esophagus cancer and Human lung cancer |
|
IHC Recommend dilution: |
40-200 |
|
WB Predicted band size: |
54 kDa |
|
WB Positive control: |
Mouse heart tissue lysate |
|
WB Recommended dilution: |
500-2000 |



購物車
幫助
021-54845833/15800441009
