克隆類型: rabbit polyclona
技術規格
|
Background: |
IRX3 is a member of the Iroquois homeobox gene family and plays a role in an early step of neural development. Members of this family appear to play multiple roles during pattern formation of vertebrate embryos. |
|
Applications: |
ELISA, IHC |
|
Name of antibody: |
IRX3 |
|
Immunogen: |
Synthetic peptide of human IRX3 |
|
Full name: |
iroquois homeobox 3 |
|
Synonyms: |
IRX-1; IRXB1 |
|
SwissProt: |
P78415 |
|
ELISA Recommended dilution: |
5000-10000 |
|
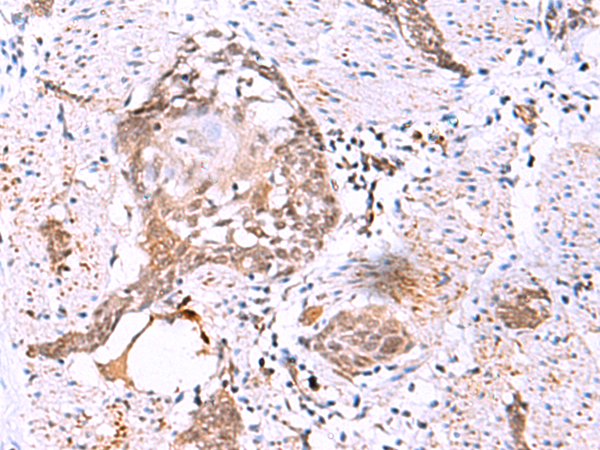
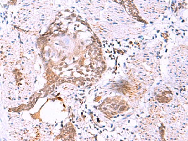
IHC positive control: |
Human esophagus cancer |
|
IHC Recommend dilution: |
20-100 |

購物車
幫助
021-54845833/15800441009
