儲 存: 冷凍(-20℃)
標 記 物: Unconjugate
技術規格
|
Background: |
This gene encodes a member of the inositol 1,4,5-trisphosphate [Ins(1,4,5)P(3)] 3-kinase family of enzymes that catalyze the phosphorylation of inositol 1,4,5-trisphosphate to 1,3,4,5-tetrakisphosphate. The encoded protein is localized to the nucleus and cytoplasm and has both nuclear import and nuclear export activity. Single nucleotide polymorphisms in this gene are associated with Kawasaki disease. |
|
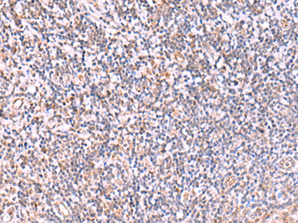
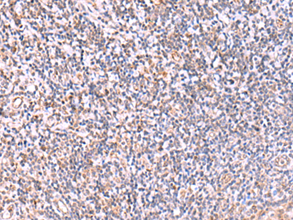
Applications: |
ELISA, IHC |
|
Name of antibody: |
ITPKC |
|
Immunogen: |
Synthetic peptide of human ITPKC |
|
Full name: |
inositol-trisphosphate 3-kinase C |
|
Synonyms: |
IP3KC; IP3-3KC |
|
SwissProt: |
Q96DU7 |
|
ELISA Recommended dilution: |
5000-10000 |
|
IHC positive control: |
Human tonsil |
|
IHC Recommend dilution: |
30-150 |

購物車
幫助
021-54845833/15800441009
