技術規格
Background:
This gene is the putative transforming gene of avian sarcoma virus 17. It encodes a protein which is highly similar to the viral protein, and which interacts directly with specific target DNA sequences to regulate gene expression. This gene is intronless and is mapped to 1p32-p31, a chromosomal region involved in both translocations and deletions in human malignancies.
Applications:
WB, IHC
Name of antibody:
JUN (Phospho-Ser73)
Immunogen:
Synthetic peptide of human JUN (Phospho-Ser73)
Full name:
jun proto-oncogene (Phospho-Ser73)
Synonyms:
AH119; AP1; Jun A; c-Jun; p39
SwissProt:
P05412
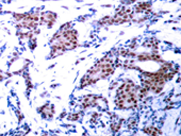
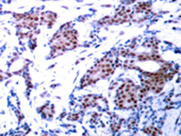
IHC positive control:
Human breast carcinoma
IHC Recommend dilution:
50-100
WB Predicted band size:
36 kDa
WB Positive control:
PC14 cells treated with EGF
WB Recommended dilution:
500-1000


購物車
幫助
021-54845833/15800441009
