別 名: major histocompatibility complex, class I, C; MHC; HLAC; HLC-C; D6S204; PSORS1; HLA-JY3
抗 原: HLA-C
儲 存: 冷凍(-20℃)
宿 主: Rabbit
反應種屬: Human
標 記 物: Unconjugate
克隆類型: rabbit polyclonal
技術規格
|
Background: |
HLA-C belongs to the HLA class I heavy chain paralogues. This class I molecule is a heterodimer consisting of a heavy chain and a light chain (beta-2 microglobulin). The heavy chain is anchored in the membrane. Class I molecules play a central role in the immune system by presenting peptides derived from endoplasmic reticulum lumen. They are expressed in nearly all cells. The heavy chain is approximately 45 kDa and its gene contains 8 exons. Exon one encodes the leader peptide, exons 2 and 3 encode the alpha1 and alpha2 domain, which both bind the peptide, exon 4 encodes the alpha3 domain, exon 5 encodes the transmembrane region, and exons 6 and 7 encode the cytoplasmic tail. Polymorphisms within exon 2 and exon 3 are responsible for the peptide binding specificity of each class one molecule. Typing for these polymorphisms is routinely done for bone marrow and kidney transplantation. Over one hundred HLA-C alleles have been described |
|
Applications: |
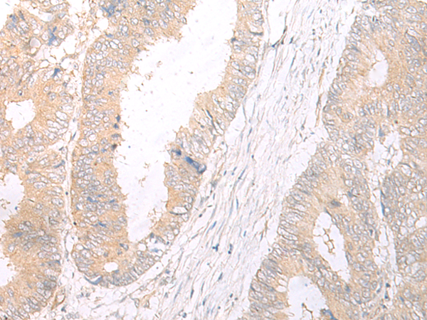
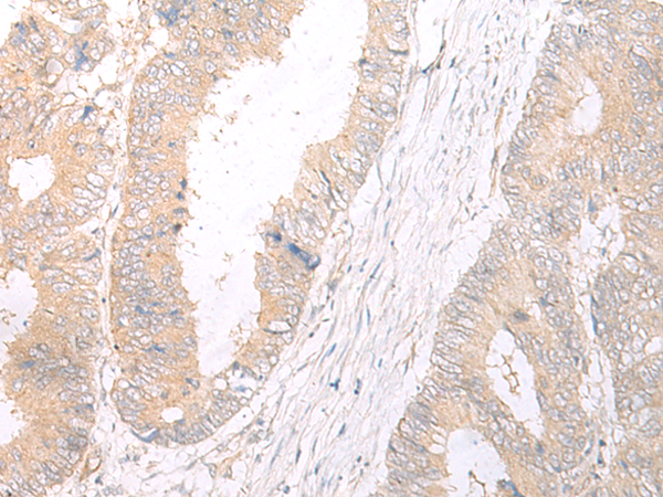
ELISA, IHC |
|
Name of antibody: |
HLA-C |
|
Immunogen: |
Synthetic peptide of human HLA-C |
|
Full name: |
major histocompatibility complex, class I, C |
|
Synonyms: |
MHC; HLAC; HLC-C; D6S204; PSORS1; HLA-JY3 |
|
SwissProt: |
P10321 |
|
ELISA Recommended dilution: |
5000-10000 |
|
IHC positive control: |
Human colorectal cancer and Human cervical cancer |
|
IHC Recommend dilution: |
25-100 |




購物車
幫助
021-54845833/15800441009
