相關類別: 一抗
|
Background: |
The protein encoded by this gene belongs to the MYST family of histone acetyl transferases (HATs) and was originally isolated as an HIV-1 TAT-interactive protein. HATs play important roles in regulating chromatin remodeling, transcription and other nuclear processes by acetylating histone and nonhistone proteins. This protein is a histone acetylase that has a role in DNA repair and apoptosis and is thought to play an important role in signal transduction. Alternative splicing of this gene results in multiple transcript variants. [provided by RefSeq, Jul 2008] |
|
Applications: |
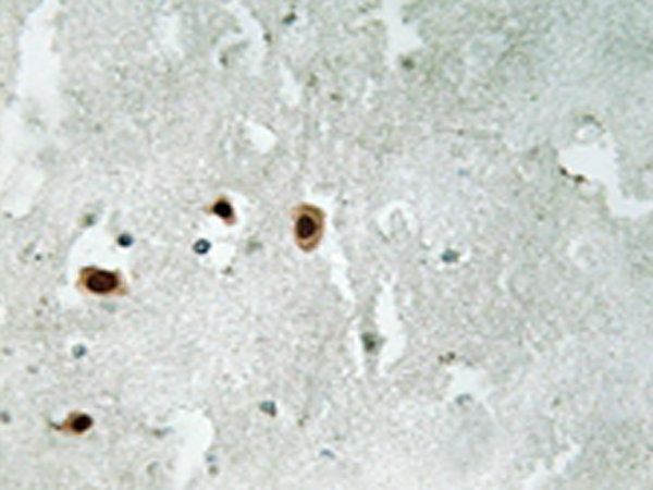
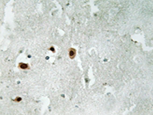
IHC |
|
Name of antibody: |
KAT5(Phospho-Ser90) |
|
Immunogen: |
Peptide sequence around phosphorylation site of Serine 90(P-G-S(p)-P-E) derived from Human Tip60. |
|
Full name: |
Histone acetyltransferase KAT5 |
|
Synonyms: |
TIP; ESA1; PLIP; TIP60; cPLA2; HTATIP; ZC2HC5; HTATIP1 |
|
SwissProt: |
Q92993 |
|
IHC positive control: |
Human brain tissue |
|
IHC Recommend dilution: |
50-100 |

購物車
幫助
021-54845833/15800441009
