中文名稱: 兔抗MTOR多克隆抗體
英文名稱: Anti-MTOR rabbit polyclonal antibody
別 名: FRAP, FRAP1, FRAP2, RAFT1, RAPT1
相關類別: 一抗
儲 存: 冷凍(-20℃)
宿 主: Rabbit
抗 原: MTOR
反應種屬: Human, Mouse, Rat
標 記 物: Unconjugate
克隆類型: rabbit polyclonal
技術規格
|
Background: |
The protein encoded by this gene belongs to a family of phosphatidylinositol kinase-related kinases. These kinases mediate cellular responses to stresses such as DNA damage and nutrient deprivation. This protein acts as the target for the cell-cycle arrest and immunosuppressive effects of the FKBP12-rapamycin complex. The ANGPTL7 gene is located in an intron of this gene. |
|
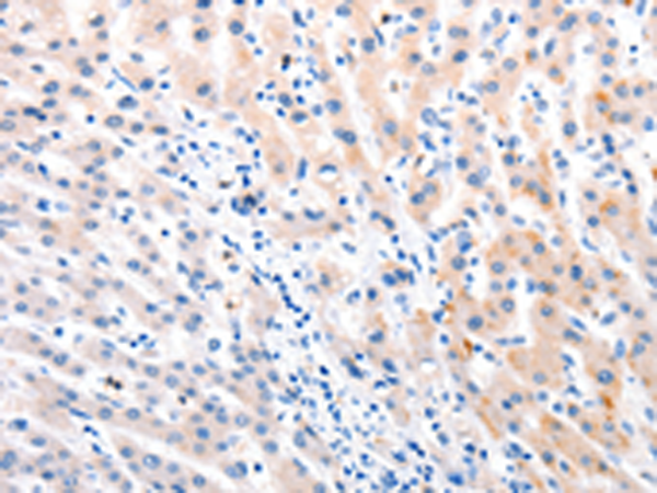
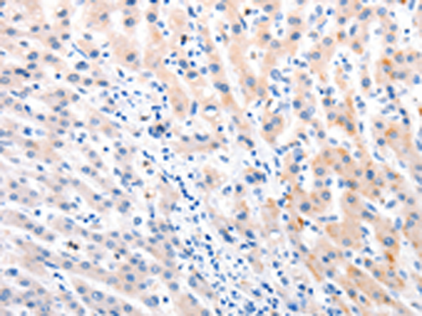
Applications: |
ELISA, IHC |
|
Name of antibody: |
MTOR |
|
Immunogen: |
Synthetic peptide of human MTOR |
|
Full name: |
mechanistic target of rapamycin (serine/threonine kinase) |
|
Synonyms: |
FRAP, FRAP1, FRAP2, RAFT1, RAPT1 |
|
SwissProt: |
P42345 |
|
ELISA Recommended dilution: |
2000-5000 |
|
IHC positive control: |
Human liver cancer |
|
IHC Recommend dilution: |
25-100 |

購物車
幫助
021-54845833/15800441009
