技術規格
Background:
Kinesin-like protein KIF3A is a protein that in humans is encoded by the KIF3A gene. Members of the heterotrimeric kinesin II family of microtubule associated motors generally contain two different motor subunits from the KIF3 family, which includes KIF3A, B and C. KIF3 isoforms mediate anterograde transport of membrane bound organelles in neurons and melanosomes, transport between the endoplasmic reticulum and the Golgi, and transport of protein complexes within cilia and flagella required for their morphogenesis. KIF3A may influence neurogenesis at the level of embryonic cellular events, where the asymmetry of the genetic control circuit controlling left-right (L-R) axis determination is defined. Loss of KIF3A function in mice photoreceptors causes apoptotic cell death, suggesting that kinesin II mediated transport is required for proper cell fate.
Applications:
ELISA, WB, IHC
Name of antibody:
KIF3A
Immunogen:
Fusion protein of human KIF3A
Full name:
kinesin family member 3A
Synonyms:
FLA10; KLP-20
SwissProt:
Q9Y496
ELISA Recommended dilution:
2000-5000
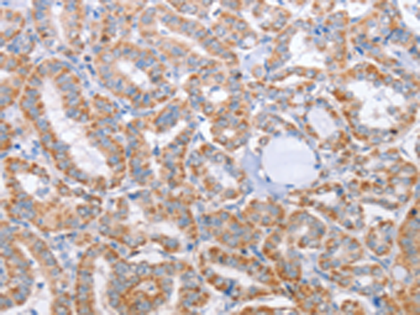
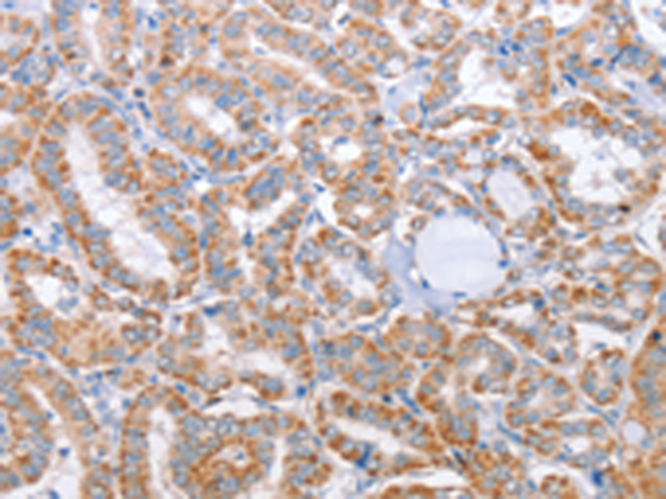
IHC positive control:
Human thyroid cancer and human lung cancer
IHC Recommend dilution:
25-100
WB Predicted band size:
80 kDa
WB Positive control:
Mouse brain and human fetal brain tissue, human brain malignant glioma tissue
WB Recommended dilution:
200-1000


購物車
幫助
021-54845833/15800441009
