技術規格
|
Background: |
This receptor binds insulin-like growth factor 1 (IGF1) with a high affinity and IGF2 with a lower affinity. It has a tyrosine-protein kinase activity, which is necessary for the activation of the IGF1-stimulated downstream signaling cascade. When present in a hybrid receptor with INSR, binds IGF1. |
|
Applications: |
WB, IF |
|
Name of antibody: |
IGF1R (Phospho-Tyr1165/Tyr1166) |
|
Immunogen: |
Synthetic peptide of human IGF1R (Phospho-Tyr1165/Tyr1166) |
|
Full name: |
insulin-like growth factor 1 receptor (Phospho-Tyr1165/Tyr1166) |
|
Synonyms: |
IGFR; CD221; IGFIR; JTK13 |
|
SwissProt: |
P08069 |
|
WB Predicted band size: |
155 kDa |
|
WB Positive control: |
293 cells treated with insulin |
|
WB Recommended dilution: |
500-1000 |
|
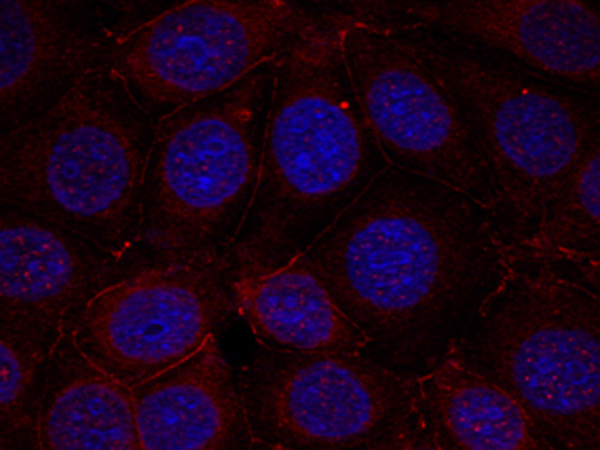
IF Positive control: |
MCF cells |
|
IF Recommended dilution |
100-200 |


購物車
幫助
021-54845833/15800441009
