|
Background: |
his gene encodes a member of the chondroitin N-acetylgalactosaminyltransferase family. These enzymes possess dual glucuronyltransferase and galactosaminyltransferase activity and play critical roles in the biosynthesis of chondroitin sulfate, a glycosaminoglycan involved in many biological processes including cell proliferation and morphogenesis. Decreased expression of this gene may play a role in colorectal cancer, and mutations in this gene are a cause of temtamy preaxial brachydactyly syndrome. |
|
Applications: |
WB, IHC |
|
Name of antibody: |
CHSY1 |
|
Immunogen: |
Synthesized peptide derived from internal of human CHSY1. |
|
Full name: |
chondroitin sulfate synthase 1 |
|
Synonyms: |
CHSY; CSS1; TPBS; ChSy-1 |
|
SwissProt: |
Q86X52 |
|
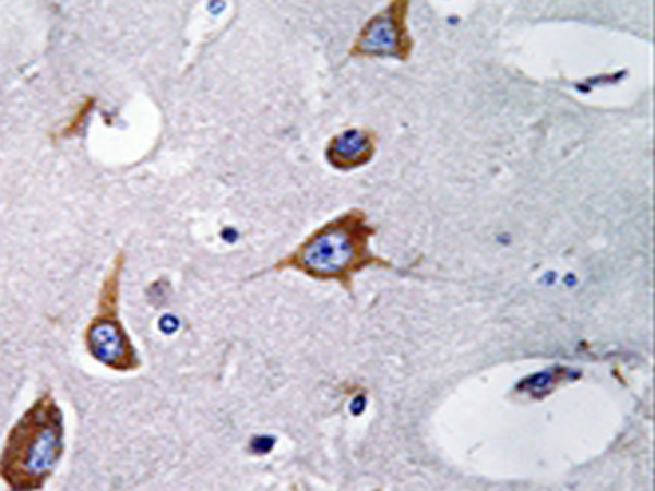
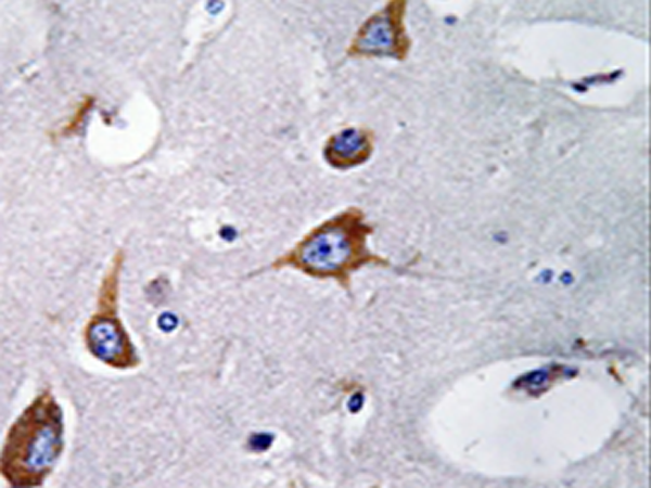
IHC positive control: |
Human brain tissue |
|
IHC Recommend dilution: |
50-100 |
|
WB Predicted band size: |
92 kDa |
|
WB Positive control: |
HepG2 cells and K562 cells lysates |
|
WB Recommended dilution: |
500-3000 |

購物車
幫助
021-54845833/15800441009
