中文名稱: 兔抗SCN1A多克隆抗體
英文名稱: Anti-SCN1A rabbit polyclonal antibody
別 名: FEB3; FHM3; NAC1; SCN1; SMEI; EIEE6; FEB3A; HBSCI; GEFSP2; Nav1.1
相關類別: 一抗
儲 存: 冷凍(-20℃)
宿 主: Rabbit
抗 原: SCN1A
反應種屬: Human, Rat
標 記 物: Unconjugate
克隆類型: rabbit polyclonal
技術規格
|
Background: |
The vertebrate sodium channel is a voltage-gated ion channel essential for the generation and propagation of action potentials, mainly in nerve and muscle. Voltage-sensitive sodium channels are heteromeric complexes consisting of a large central pore-forming glycosylated alpha subunit, and two smaller auxiliary beta subunits. This gene encodes the large alpha subunit, and mutations in this gene have been associated with several epilepsy, convulsion and migraine disorders. Alternative splicing results in multiple transcript variants. The RefSeq Project has decided to create four representative RefSeq records. Three of the transcript variants are supported by experimental evidence and the fourth contains alternate 5' untranslated exons, the exact combination of which have not been experimentally confirmed for the full-length transcript. |
|
Applications: |
ELISA, IHC |
|
Name of antibody: |
SCN1A |
|
Immunogen: |
Synthetic peptide of human SCN1A |
|
Full name: |
sodium channel, voltage gated, type I alpha subunit |
|
Synonyms: |
FEB3; FHM3; NAC1; SCN1; SMEI; EIEE6; FEB3A; HBSCI; GEFSP2; Nav1.1 |
|
SwissProt: |
P35498 |
|
ELISA Recommended dilution: |
5000-10000 |
|
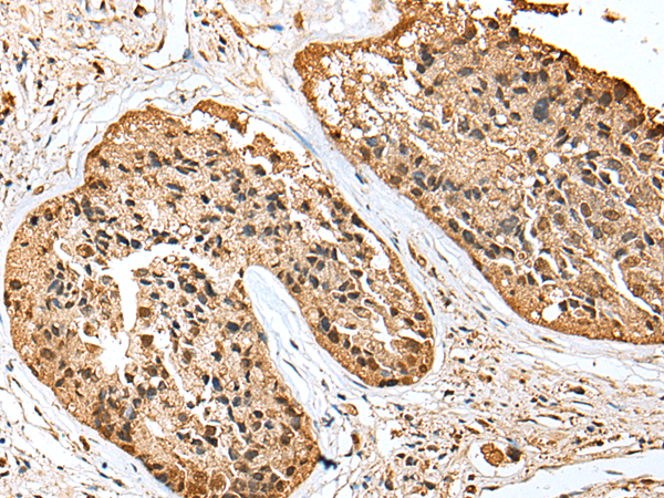
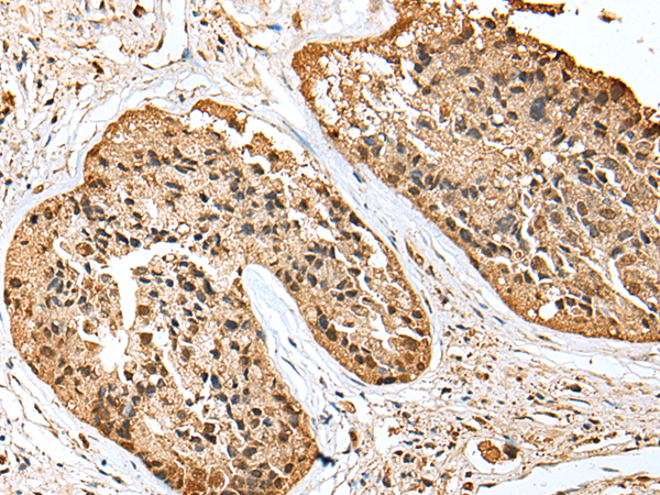
IHC positive control: |
Human prostate cancer |
|
IHC Recommend dilution: |
25-100 |
購物車
幫助
021-54845833/15800441009
