中文名稱:兔抗BPGM多克隆抗體
|
Background: |
2,3-diphosphoglycerate (2,3-DPG) is a small molecule found at high concentrations in red blood cells where it binds to and decreases the oxygen affinity of hemoglobin. This gene encodes a multifunctional enzyme that catalyzes 2,3-DPG synthesis via its synthetase activity, and 2,3-DPG degradation via its phosphatase activity. The enzyme also has phosphoglycerate phosphomutase activity. Deficiency of this enzyme increases the affinity of cells for oxygen. Mutations in this gene result in hemolytic anemia. Multiple alternatively spliced variants, encoding the same protein, have been identified. |
|
Applications: |
ELISA, WB, IHC |
|
Name of antibody: |
BPGM |
|
Immunogen: |
Full length fusion protein |
|
Full name: |
bisphosphoglycerate mutase |
|
Synonyms: |
DPGM |
|
SwissProt: |
P07738 |
|
ELISA Recommended dilution: |
5000-10000 |
|
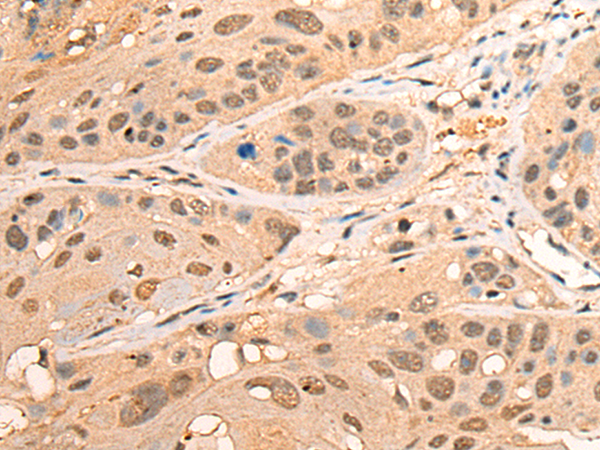
IHC positive control: |
Human liver cancer and Human esophagus cancer |
|
IHC Recommend dilution: |
50-300 |
|
WB Predicted band size: |
30 kDa |
|
WB Positive control: |
Human placenta tissue lysate |
|
WB Recommended dilution: |
1000-5000 |



購物車
幫助
021-54845833/15800441009
