|
Background: |
The protein encoded by this gene is a component of the multiprotein assembly that is required for creation of kinetochore-microtubule attachments and chromosome segregation. The encoded protein functions as a scaffold for proteins that influence the spindle assembly checkpoint during the eukaryotic cell cycle and it interacts with at least five different kinetochore proteins and two checkpoint kinases. In adults, this gene is predominantly expressed in normal testes, various cancer cell lines and primary tumors from other tissues and is ubiquitously expressed in fetal tissues. This gene was originally identified as a fusion partner with the mixed-lineage leukemia (MLL) gene in t(11;15)(q23;q14). Mutations in this gene cause autosomal recessive primary microcephaly-4 (MCPH4). Alternative splicing results in multiple transcript variants encoding different isoforms. Additional splice variants have been described but their biological validity has not been confirmed. [provided by RefSeq, Jan 2013] |
|
Applications: |
ELISA, IHC |
|
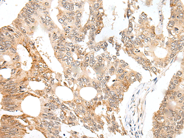
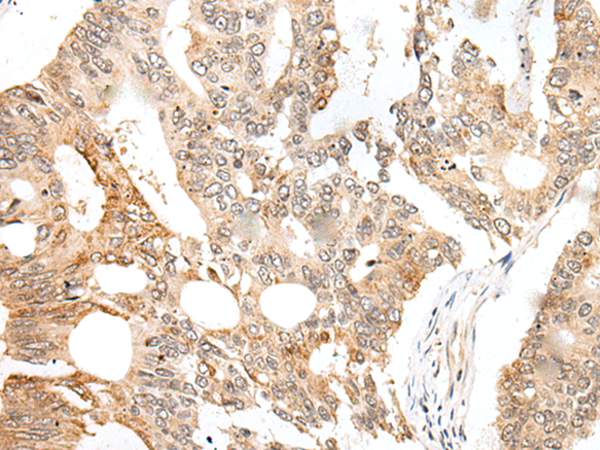
Name of antibody: |
KNL1 |
|
Immunogen: |
Synthetic peptide of human KNL1 |
|
Full name: |
kinetochore scaffold 1 |
|
Synonyms: |
D40; CT29; Spc7; CASC5; MCPH4; hKNL-1; AF15Q14; PPP1R55; hSpc105 |
|
SwissProt: |
Q8NG31 |
|
IHC positive control: |
Human colorectal cancer |
|
IHC Recommend dilution: |
25-100 |
購物車
幫助
021-54845833/15800441009
