中文名稱:兔抗SF3A3多克隆抗體
英文名稱: Anti-SF3A3 rabbit polyclonal antibody
別 名: splicing factor 3a subunit 3; PRP9; PRPF9; SAP61; SF3a60
相關類別: 一抗
儲 存: 冷凍(-20℃)
宿 主: Rabbit
抗 原: SF3A3
反應種屬: Human, Mouse
標記物: Unconjugate
克隆類型: rabbit polyclonal
Background:
This gene encodes subunit 3 of the splicing factor 3a protein complex. The splicing factor 3a heterotrimer includes subunits 1, 2 and 3 and is necessary for the in vitro conversion of 15S U2 snRNP into an active 17S particle that performs pre-mRNA splicing. Subunit 3 interacts with subunit 1 through its amino-terminus while the zinc finger domain of subunit 3 plays a role in its binding to the 15S U2 snRNP. This gene has a pseudogene on chromosome 20. Alternative splicing results in multiple transcript variants.
Applications:
ELISA, WB, IHC
Name of antibody:
SF3A3
Immunogen:
Fusion protein of human SF3A3
Full name:
splicing factor 3a subunit 3
Synonyms:
PRP9; PRPF9; SAP61; SF3a60
SwissProt:
Q12874
ELISA Recommended dilution:
5000-10000
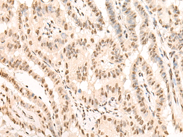
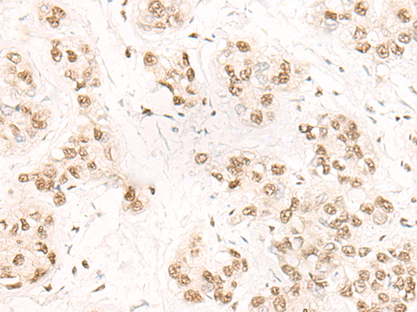
IHC positive control:
Human thyroid cancer and Human liver cancer
IHC Recommend dilution:
30-150
WB Predicted band size:
59 kDa
WB Positive control:
Jurkat and Raji cell lysates
WB Recommended dilution:
500-2000
技術規格


購物車
幫助
021-54845833/15800441009
