技術規格
Background:
The protein encoded by this gene is a member of the keratin gene family. This type I hair keratin is an acidic protein which heterodimerizes with type II keratins to form hair and nails. The type I hair keratins are clustered in a region of chromosome 17q12-q21 and have the same direction of transcription.
Applications:
ELISA, WB, IHC
Name of antibody:
KRT36
Immunogen:
Synthetic peptide of human KRT36
Full name:
keratin 36
Synonyms:
HA6; hHa6; KRTHA6
SwissProt:
O76013
ELISA Recommended dilution:
5000-10000
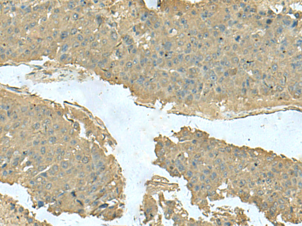
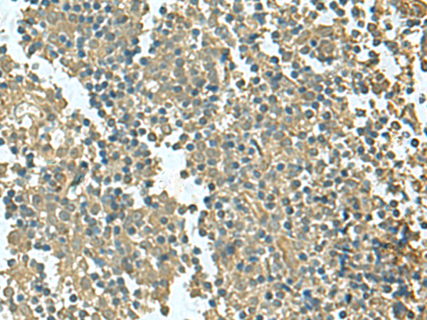
IHC positive control:
Human tonsil and Human liver cancer
IHC Recommend dilution:
50-300
WB Predicted band size:
52 kDa
WB Positive control:
Human skin tissue lysate
WB Recommended dilution:
500-2000



購物車
幫助
021-54845833/15800441009
