中文名稱: 兔抗RAB3C多克隆抗體
英文名稱: Anti-RAB3C rabbit polyclonal antibody
別 名: RAB3C, member RAS oncogene family
相關類別: 一抗
儲 存: 冷凍(-20℃)
宿 主: Rabbit
抗 原: RAB3C
反應種屬: Human, Mouse, Rat
標 記 物: Unconjugate
技術規格
Background:
This gene is a member of the RAS oncogene family and encodes a small GTPase. Other similar small GTPases are known to be involved in vesicle trafficking, and the encoded protein was shown to play a role in recycling phagocytosed MHC class 1 complexes to the cell surface. Two transcript variants encoding different isoforms have been found for this gene.
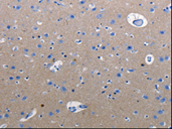
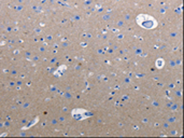
Applications:
ELISA, WB, IHC
Name of antibody:
RAB3C
Immunogen:
Synthetic peptide of human RAB3C
Full name:
RAB3C, member RAS oncogene family
SwissProt:
Q96E17
ELISA Recommended dilution:
2000-10000
IHC positive control:
Human cervical cancer
IHC Recommend dilution:
25-100
WB Predicted band size:
26 kDa
WB Positive control:
Human fetal brain tissue and 293T cells
WB Recommended dilution:
500-2000


購物車
幫助
021-54845833/15800441009
