中文名稱: 兔抗HEXB多克隆抗體
相關類別: 一抗
儲 存: 冷凍(-20℃) 避光
宿 主: Rabbit
反應種屬: Human
標 記 物: Unconjugate
技術規格
|
Background: |
Hexosaminidase B is the beta subunit of the lysosomal enzyme beta-hexosaminidase that, together with the cofactor GM2 activator protein, catalyzes the degradation of the ganglioside GM2, and other molecules containing terminal N-acetyl hexosamines. Beta-hexosaminidase is composed of two subunits, alpha and beta, which are encoded by separate genes. Both beta-hexosaminidase alpha and beta subunits are members of family 20 of glycosyl hydrolases. |
|
Applications: |
WB, IHC |
|
Name of antibody: |
HEXB |
|
Immunogen: |
Synthesized peptide derived from C-terminal of human HEXB. |
|
Full name: |
hexosaminidase B (beta polypeptide) |
|
Synonyms: |
ENC-1AS; HEL-248 |
|
SwissProt: |
P07686 |
|
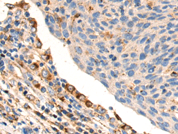
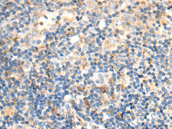
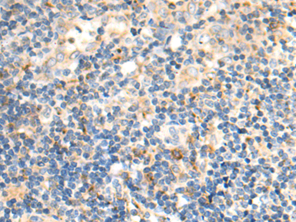
IHC positive control: |
Human colon carcinoma tissue |
|
IHC Recommend dilution: |
50-100 |
|
WB Predicted band size: |
63 kDa |
|
WB Positive control: |
Jurkat cells lysate |
|
WB Recommended dilution: |
500-3000 |





購物車
幫助
021-54845833/15800441009
