|
Background: |
The LIN proteins regulate an intercellular signaling process that induces formation of the hermaphrodite vulva in C. elegans by acting to prevent the activation of a receptor tyrosine kinase/Ras signaling pathway. LIN37 is a 246 amino acid protein that is a mammalian homolog of the C. elegans Lin-37 protein. LIN37 functions as a component of the DREAM complex (also known as the LINC complex), which is comprised of several proteins, all of which work in concert to repress cell cycle-dependent genes. LIN37 is encoded by a gene located on human chromosome 19q13.2. |
|
Applications: |
ELISA, IHC |
|
Name of antibody: |
LIN37 |
|
Immunogen: |
Fusion protein of human LIN37 |
|
Full name: |
lin-37 DREAM MuvB core complex component |
|
Synonyms: |
F25965; lin-37; ZK418.4 |
|
SwissProt: |
Q96GY3 |
|
ELISA Recommended dilution: |
5000-10000 |
|
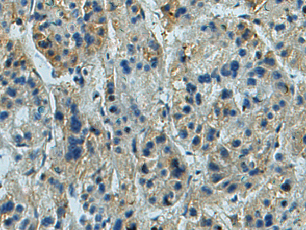
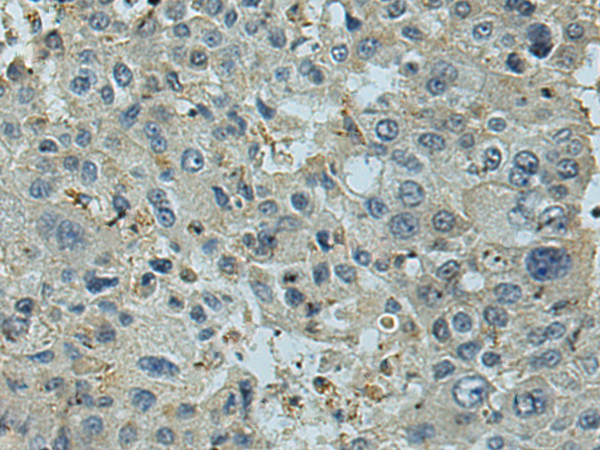
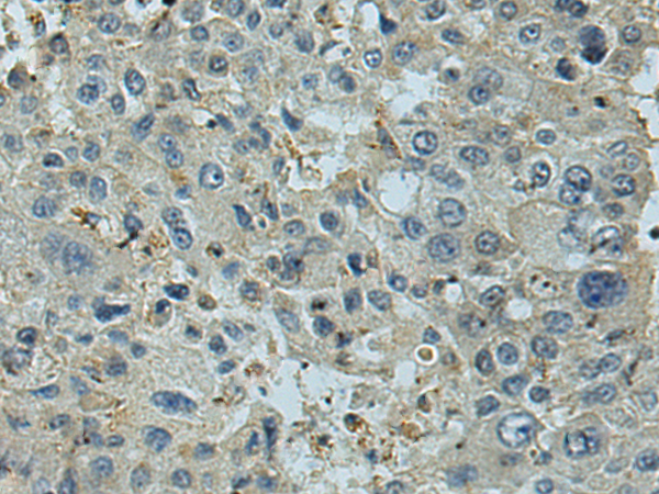
IHC positive control: |
Human prostate cancer and Human liver cancer |
|
IHC Recommend dilution: |
50-200 |


購物車
幫助
021-54845833/15800441009
